Digital Database for Screening Mammography

Volume: benign_07 Case: A-1316-1


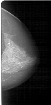
A_1316_1.LEFT_MLO

A_1316_1.RIGHT_MLO

A_1316_1.LEFT_CC

A_1316_1.RIGHT_CC

ics_version 1.0
filename A-1316-1
DATE_OF_STUDY 16 11 1993
PATIENT_AGE 62
FILM
FILM_TYPE REGULAR
DENSITY 4
DATE_DIGITIZED 28 7 1998
DIGITIZER HOWTEK 43.5
SEQUENCE
LEFT_CC LINES 4726 PIXELS_PER_LINE 2641 BITS_PER_PIXEL 12 RESOLUTION 43.5 OVERLAY
LEFT_MLO LINES 5491 PIXELS_PER_LINE 2731 BITS_PER_PIXEL 12 RESOLUTION 43.5 OVERLAY
RIGHT_CC LINES 4696 PIXELS_PER_LINE 2281 BITS_PER_PIXEL 12 RESOLUTION 43.5 NON_OVERLAY
RIGHT_MLO LINES 5491 PIXELS_PER_LINE 2686 BITS_PER_PIXEL 12 RESOLUTION 43.5 NON_OVERLAY

FILE: A_1316_1.LEFT_MLO.OVERLAY

TOTAL_ABNORMALITIES 1
ABNORMALITY 1 
LESION_TYPE CALCIFICATION TYPE PLEOMORPHIC DISTRIBUTION CLUSTERED
ASSESSMENT 4 
SUBTLETY 3 
PATHOLOGY BENIGN
TOTAL_OUTLINES 1 
BOUNDARY
FILE: A_1316_1.LEFT_CC.OVERLAY

TOTAL_ABNORMALITIES 1
ABNORMALITY 1 
LESION_TYPE CALCIFICATION TYPE PLEOMORPHIC DISTRIBUTION CLUSTERED
ASSESSMENT 4 
SUBTLETY 3 
PATHOLOGY BENIGN
TOTAL_OUTLINES 1 
BOUNDARY