Digital Database for Screening Mammography

Volume: benign_07 Case: A-1394-1


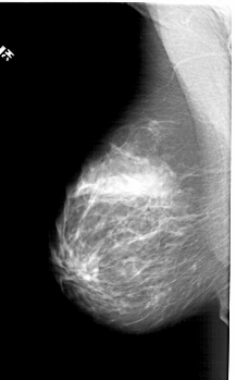
A_1394_1.LEFT_MLO

A_1394_1.RIGHT_MLO

A_1394_1.LEFT_CC

A_1394_1.RIGHT_CC

ics_version 1.0
filename A-1394-1
DATE_OF_STUDY 28 3 1995
PATIENT_AGE 57
FILM
FILM_TYPE REGULAR
DENSITY 4
DATE_DIGITIZED 9 9 1998
DIGITIZER HOWTEK 43.5
SEQUENCE
LEFT_CC LINES 5731 PIXELS_PER_LINE 3481 BITS_PER_PIXEL 12 RESOLUTION 43.5 NON_OVERLAY
LEFT_MLO LINES 5926 PIXELS_PER_LINE 3676 BITS_PER_PIXEL 12 RESOLUTION 43.5 NON_OVERLAY
RIGHT_CC LINES 5686 PIXELS_PER_LINE 3466 BITS_PER_PIXEL 12 RESOLUTION 43.5 OVERLAY
RIGHT_MLO LINES 6046 PIXELS_PER_LINE 3526 BITS_PER_PIXEL 12 RESOLUTION 43.5 OVERLAY

FILE: A_1394_1.RIGHT_MLO.OVERLAY

TOTAL_ABNORMALITIES 1
ABNORMALITY 1 
LESION_TYPE MASS SHAPE LOBULATED MARGINS CIRCUMSCRIBED
ASSESSMENT 4 
SUBTLETY 5 
PATHOLOGY BENIGN
TOTAL_OUTLINES 1 
BOUNDARY
FILE: A_1394_1.RIGHT_CC.OVERLAY

TOTAL_ABNORMALITIES 1
ABNORMALITY 1 
LESION_TYPE MASS SHAPE LOBULATED MARGINS CIRCUMSCRIBED
ASSESSMENT 4 
SUBTLETY 5 
PATHOLOGY BENIGN
TOTAL_OUTLINES 1 
BOUNDARY