Digital Database for Screening Mammography

Volume: benign_07 Case: A-1609-1


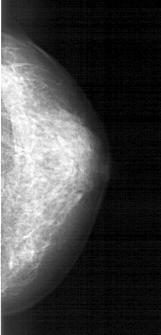
A_1609_1.LEFT_MLO

A_1609_1.RIGHT_MLO

A_1609_1.LEFT_CC

A_1609_1.RIGHT_CC

ics_version 1.0
filename A-1609-1
DATE_OF_STUDY 20 9 1991
PATIENT_AGE 38
FILM
FILM_TYPE REGULAR
DENSITY 4
DATE_DIGITIZED 7 1 1999
DIGITIZER HOWTEK 43.5
SEQUENCE
LEFT_CC LINES 4006 PIXELS_PER_LINE 1861 BITS_PER_PIXEL 12 RESOLUTION 43.5 OVERLAY
LEFT_MLO LINES 5191 PIXELS_PER_LINE 2056 BITS_PER_PIXEL 12 RESOLUTION 43.5 OVERLAY
RIGHT_CC LINES 3676 PIXELS_PER_LINE 1771 BITS_PER_PIXEL 12 RESOLUTION 43.5 NON_OVERLAY
RIGHT_MLO LINES 5311 PIXELS_PER_LINE 2131 BITS_PER_PIXEL 12 RESOLUTION 43.5 NON_OVERLAY

FILE: A_1609_1.LEFT_MLO.OVERLAY

TOTAL_ABNORMALITIES 1
ABNORMALITY 1 
LESION_TYPE CALCIFICATION TYPE PLEOMORPHIC DISTRIBUTION CLUSTERED
ASSESSMENT 4 
SUBTLETY 2 
PATHOLOGY BENIGN
TOTAL_OUTLINES 1 
BOUNDARY
FILE: A_1609_1.LEFT_CC.OVERLAY

TOTAL_ABNORMALITIES 1
ABNORMALITY 1 
LESION_TYPE CALCIFICATION TYPE PLEOMORPHIC DISTRIBUTION CLUSTERED
ASSESSMENT 4 
SUBTLETY 2 
PATHOLOGY BENIGN
TOTAL_OUTLINES 1 
BOUNDARY