Digital Database for Screening Mammography

Volume: benign_07 Case: A-1632-1


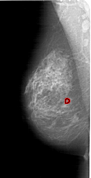
A_1632_1.LEFT_MLO

A_1632_1.RIGHT_MLO

A_1632_1.LEFT_CC

A_1632_1.RIGHT_CC

ics_version 1.0
filename A-1632-1
DATE_OF_STUDY 13 3 1998
PATIENT_AGE 52
FILM
FILM_TYPE REGULAR
DENSITY 3
DATE_DIGITIZED 29 9 1998
DIGITIZER HOWTEK 43.5
SEQUENCE
LEFT_CC LINES 6811 PIXELS_PER_LINE 3016 BITS_PER_PIXEL 12 RESOLUTION 43.5 OVERLAY
LEFT_MLO LINES 6316 PIXELS_PER_LINE 3226 BITS_PER_PIXEL 12 RESOLUTION 43.5 OVERLAY
RIGHT_CC LINES 5866 PIXELS_PER_LINE 2971 BITS_PER_PIXEL 12 RESOLUTION 43.5 NON_OVERLAY
RIGHT_MLO LINES 6646 PIXELS_PER_LINE 3181 BITS_PER_PIXEL 12 RESOLUTION 43.5 NON_OVERLAY

FILE: A_1632_1.LEFT_MLO.OVERLAY

TOTAL_ABNORMALITIES 1
ABNORMALITY 1 
LESION_TYPE CALCIFICATION TYPE PLEOMORPHIC DISTRIBUTION CLUSTERED
ASSESSMENT 4 
SUBTLETY 2 
PATHOLOGY BENIGN
TOTAL_OUTLINES 1 
BOUNDARY
FILE: A_1632_1.LEFT_CC.OVERLAY

TOTAL_ABNORMALITIES 1
ABNORMALITY 1 
LESION_TYPE CALCIFICATION TYPE PLEOMORPHIC DISTRIBUTION CLUSTERED
ASSESSMENT 4 
SUBTLETY 2 
PATHOLOGY BENIGN
TOTAL_OUTLINES 1 
BOUNDARY