Digital Database for Screening Mammography

Volume: benign_07 Case: A-1691-1


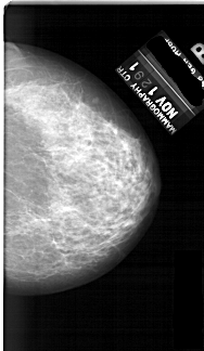
A_1691_1.LEFT_MLO

A_1691_1.RIGHT_MLO

A_1691_1.LEFT_CC

A_1691_1.RIGHT_CC

ics_version 1.0
filename A-1691-1
DATE_OF_STUDY 12 11 1991
PATIENT_AGE 38
FILM
FILM_TYPE REGULAR
DENSITY 3
DATE_DIGITIZED 22 2 1999
DIGITIZER HOWTEK 43.5
SEQUENCE
LEFT_CC LINES 6871 PIXELS_PER_LINE 3946 BITS_PER_PIXEL 12 RESOLUTION 43.5 OVERLAY
LEFT_MLO LINES 6466 PIXELS_PER_LINE 4126 BITS_PER_PIXEL 12 RESOLUTION 43.5 OVERLAY
RIGHT_CC LINES 6151 PIXELS_PER_LINE 3556 BITS_PER_PIXEL 12 RESOLUTION 43.5 NON_OVERLAY
RIGHT_MLO LINES 6586 PIXELS_PER_LINE 3721 BITS_PER_PIXEL 12 RESOLUTION 43.5 NON_OVERLAY

FILE: A_1691_1.LEFT_MLO.OVERLAY

TOTAL_ABNORMALITIES 1
ABNORMALITY 1 
LESION_TYPE MASS SHAPE LOBULATED MARGINS CIRCUMSCRIBED
ASSESSMENT 4 
SUBTLETY 4 
PATHOLOGY BENIGN
TOTAL_OUTLINES 1 
BOUNDARY
FILE: A_1691_1.LEFT_CC.OVERLAY

TOTAL_ABNORMALITIES 1
ABNORMALITY 1 
LESION_TYPE MASS SHAPE LOBULATED MARGINS CIRCUMSCRIBED
ASSESSMENT 4 
SUBTLETY 4 
PATHOLOGY BENIGN
TOTAL_OUTLINES 1 
BOUNDARY