Digital Database for Screening Mammography

Volume: benign_08 Case: A-1705-1


A_1705_1.LEFT_MLO

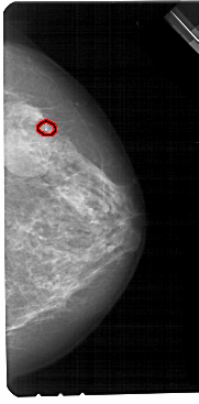
A_1705_1.RIGHT_MLO

A_1705_1.LEFT_CC

A_1705_1.RIGHT_CC

ics_version 1.0
filename A-1705-1
DATE_OF_STUDY 30 8 1996
PATIENT_AGE 56
FILM
FILM_TYPE REGULAR
DENSITY 3
DATE_DIGITIZED 11 6 1998
DIGITIZER HOWTEK 43.5
SEQUENCE
LEFT_CC LINES 5371 PIXELS_PER_LINE 2326 BITS_PER_PIXEL 12 RESOLUTION 43.5 NON_OVERLAY
LEFT_MLO LINES 5491 PIXELS_PER_LINE 2701 BITS_PER_PIXEL 12 RESOLUTION 43.5 NON_OVERLAY
RIGHT_CC LINES 5491 PIXELS_PER_LINE 2701 BITS_PER_PIXEL 12 RESOLUTION 43.5 OVERLAY
RIGHT_MLO LINES 5491 PIXELS_PER_LINE 2971 BITS_PER_PIXEL 12 RESOLUTION 43.5 OVERLAY

FILE: A_1705_1.RIGHT_MLO.OVERLAY

TOTAL_ABNORMALITIES 1
ABNORMALITY 1 
LESION_TYPE CALCIFICATION TYPE PLEOMORPHIC DISTRIBUTION CLUSTERED
ASSESSMENT 4 
SUBTLETY 2 
PATHOLOGY BENIGN
TOTAL_OUTLINES 1 
BOUNDARY
FILE: A_1705_1.RIGHT_CC.OVERLAY

TOTAL_ABNORMALITIES 1
ABNORMALITY 1 
LESION_TYPE CALCIFICATION TYPE PLEOMORPHIC DISTRIBUTION CLUSTERED
ASSESSMENT 4 
SUBTLETY 2 
PATHOLOGY BENIGN
TOTAL_OUTLINES 1 
BOUNDARY