Digital Database for Screening Mammography

Volume: benign_08 Case: A-1709-1


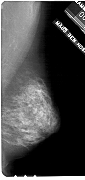
A_1709_1.LEFT_MLO

A_1709_1.RIGHT_MLO

A_1709_1.LEFT_CC

A_1709_1.RIGHT_CC

ics_version 1.0
filename A-1709-1
DATE_OF_STUDY 11 10 1996
PATIENT_AGE 54
FILM
FILM_TYPE REGULAR
DENSITY 3
DATE_DIGITIZED 8 3 1999
DIGITIZER HOWTEK 43.5
SEQUENCE
LEFT_CC LINES 5341 PIXELS_PER_LINE 2806 BITS_PER_PIXEL 12 RESOLUTION 43.5 OVERLAY
LEFT_MLO LINES 5491 PIXELS_PER_LINE 2986 BITS_PER_PIXEL 12 RESOLUTION 43.5 OVERLAY
RIGHT_CC LINES 4411 PIXELS_PER_LINE 2311 BITS_PER_PIXEL 12 RESOLUTION 43.5 NON_OVERLAY
RIGHT_MLO LINES 5491 PIXELS_PER_LINE 2611 BITS_PER_PIXEL 12 RESOLUTION 43.5 NON_OVERLAY

FILE: A_1709_1.LEFT_MLO.OVERLAY

TOTAL_ABNORMALITIES 1
ABNORMALITY 1 
LESION_TYPE MASS SHAPE LOBULATED MARGINS CIRCUMSCRIBED
ASSESSMENT 4 
SUBTLETY 2 
PATHOLOGY BENIGN
TOTAL_OUTLINES 1 
BOUNDARY
FILE: A_1709_1.LEFT_CC.OVERLAY

TOTAL_ABNORMALITIES 1
ABNORMALITY 1 
LESION_TYPE MASS SHAPE LOBULATED MARGINS CIRCUMSCRIBED
ASSESSMENT 4 
SUBTLETY 2 
PATHOLOGY BENIGN
TOTAL_OUTLINES 1 
BOUNDARY