Digital Database for Screening Mammography

Volume: benign_08 Case: A-1713-1


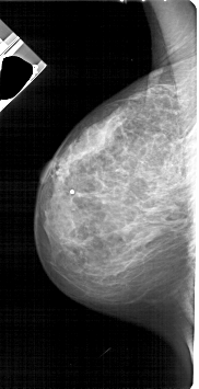
A_1713_1.LEFT_MLO

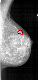
A_1713_1.RIGHT_MLO

A_1713_1.LEFT_CC

A_1713_1.RIGHT_CC

ics_version 1.0
filename A-1713-1
DATE_OF_STUDY 2 5 1995
PATIENT_AGE 66
FILM
FILM_TYPE REGULAR
DENSITY 4
DATE_DIGITIZED 12 3 1999
DIGITIZER HOWTEK 43.5
SEQUENCE
LEFT_CC LINES 4726 PIXELS_PER_LINE 2386 BITS_PER_PIXEL 12 RESOLUTION 43.5 NON_OVERLAY
LEFT_MLO LINES 5311 PIXELS_PER_LINE 2716 BITS_PER_PIXEL 12 RESOLUTION 43.5 NON_OVERLAY
RIGHT_CC LINES 5341 PIXELS_PER_LINE 2251 BITS_PER_PIXEL 12 RESOLUTION 43.5 OVERLAY
RIGHT_MLO LINES 5071 PIXELS_PER_LINE 2401 BITS_PER_PIXEL 12 RESOLUTION 43.5 OVERLAY

FILE: A_1713_1.RIGHT_MLO.OVERLAY

TOTAL_ABNORMALITIES 1
ABNORMALITY 1 
LESION_TYPE CALCIFICATION TYPE PLEOMORPHIC DISTRIBUTION CLUSTERED
ASSESSMENT 4 
SUBTLETY 1 
PATHOLOGY BENIGN
TOTAL_OUTLINES 1 
BOUNDARY
FILE: A_1713_1.RIGHT_CC.OVERLAY

TOTAL_ABNORMALITIES 1
ABNORMALITY 1 
LESION_TYPE CALCIFICATION TYPE PLEOMORPHIC DISTRIBUTION CLUSTERED
ASSESSMENT 4 
SUBTLETY 1 
PATHOLOGY BENIGN
TOTAL_OUTLINES 1 
BOUNDARY