Digital Database for Screening Mammography

Volume: benign_08 Case: A-1737-1


A_1737_1.LEFT_MLO

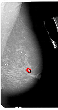
A_1737_1.RIGHT_MLO

A_1737_1.LEFT_CC

A_1737_1.RIGHT_CC

ics_version 1.0
filename A-1737-1
DATE_OF_STUDY 31 10 1991
PATIENT_AGE 71
FILM
FILM_TYPE REGULAR
DENSITY 2
DATE_DIGITIZED 4 3 1999
DIGITIZER HOWTEK 43.5
SEQUENCE
LEFT_CC LINES 5356 PIXELS_PER_LINE 2611 BITS_PER_PIXEL 12 RESOLUTION 43.5 NON_OVERLAY
LEFT_MLO LINES 5491 PIXELS_PER_LINE 2776 BITS_PER_PIXEL 12 RESOLUTION 43.5 NON_OVERLAY
RIGHT_CC LINES 5341 PIXELS_PER_LINE 2521 BITS_PER_PIXEL 12 RESOLUTION 43.5 OVERLAY
RIGHT_MLO LINES 5491 PIXELS_PER_LINE 2881 BITS_PER_PIXEL 12 RESOLUTION 43.5 OVERLAY

FILE: A_1737_1.RIGHT_MLO.OVERLAY

TOTAL_ABNORMALITIES 1
ABNORMALITY 1 
LESION_TYPE MASS SHAPE LOBULATED MARGINS ILL_DEFINED
ASSESSMENT 4 
SUBTLETY 1 
PATHOLOGY BENIGN
TOTAL_OUTLINES 1 
BOUNDARY
FILE: A_1737_1.RIGHT_CC.OVERLAY

TOTAL_ABNORMALITIES 1
ABNORMALITY 1 
LESION_TYPE MASS SHAPE LOBULATED MARGINS ILL_DEFINED
ASSESSMENT 4 
SUBTLETY 1 
PATHOLOGY BENIGN
TOTAL_OUTLINES 1 
BOUNDARY