Digital Database for Screening Mammography

Volume: benign_08 Case: A-1746-1


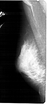
A_1746_1.LEFT_MLO

A_1746_1.RIGHT_MLO

A_1746_1.LEFT_CC

A_1746_1.RIGHT_CC

ics_version 1.0
filename A-1746-1
DATE_OF_STUDY 22 12 1992
PATIENT_AGE 41
FILM
FILM_TYPE REGULAR
DENSITY 4
DATE_DIGITIZED 4 3 1999
DIGITIZER HOWTEK 43.5
SEQUENCE
LEFT_CC LINES 5056 PIXELS_PER_LINE 2236 BITS_PER_PIXEL 12 RESOLUTION 43.5 NON_OVERLAY
LEFT_MLO LINES 5491 PIXELS_PER_LINE 2476 BITS_PER_PIXEL 12 RESOLUTION 43.5 NON_OVERLAY
RIGHT_CC LINES 3931 PIXELS_PER_LINE 1981 BITS_PER_PIXEL 12 RESOLUTION 43.5 OVERLAY
RIGHT_MLO LINES 5431 PIXELS_PER_LINE 2416 BITS_PER_PIXEL 12 RESOLUTION 43.5 OVERLAY

FILE: A_1746_1.RIGHT_MLO.OVERLAY

TOTAL_ABNORMALITIES 1
ABNORMALITY 1 
LESION_TYPE CALCIFICATION TYPE PLEOMORPHIC DISTRIBUTION CLUSTERED
ASSESSMENT 4 
SUBTLETY 1 
PATHOLOGY BENIGN
TOTAL_OUTLINES 1 
BOUNDARY
FILE: A_1746_1.RIGHT_CC.OVERLAY

TOTAL_ABNORMALITIES 1
ABNORMALITY 1 
LESION_TYPE CALCIFICATION TYPE PLEOMORPHIC DISTRIBUTION CLUSTERED
ASSESSMENT 4 
SUBTLETY 1 
PATHOLOGY BENIGN
TOTAL_OUTLINES 1 
BOUNDARY