Digital Database for Screening Mammography

Volume: benign_08 Case: A-1753-1


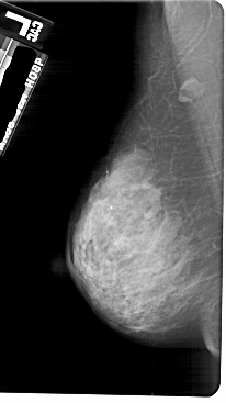
A_1753_1.LEFT_MLO

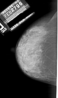
A_1753_1.RIGHT_MLO

A_1753_1.LEFT_CC

A_1753_1.RIGHT_CC

ics_version 1.0
filename A-1753-1
DATE_OF_STUDY 27 2 1996
PATIENT_AGE 69
FILM
FILM_TYPE REGULAR
DENSITY 4
DATE_DIGITIZED 16 3 1999
DIGITIZER HOWTEK 43.5
SEQUENCE
LEFT_CC LINES 4906 PIXELS_PER_LINE 2911 BITS_PER_PIXEL 12 RESOLUTION 43.5 NON_OVERLAY
LEFT_MLO LINES 5491 PIXELS_PER_LINE 3076 BITS_PER_PIXEL 12 RESOLUTION 43.5 NON_OVERLAY
RIGHT_CC LINES 5491 PIXELS_PER_LINE 2956 BITS_PER_PIXEL 12 RESOLUTION 43.5 OVERLAY
RIGHT_MLO LINES 5491 PIXELS_PER_LINE 3136 BITS_PER_PIXEL 12 RESOLUTION 43.5 OVERLAY

FILE: A_1753_1.RIGHT_MLO.OVERLAY

TOTAL_ABNORMALITIES 1
ABNORMALITY 1 
LESION_TYPE CALCIFICATION TYPE PLEOMORPHIC DISTRIBUTION CLUSTERED
ASSESSMENT 4 
SUBTLETY 1 
PATHOLOGY BENIGN
TOTAL_OUTLINES 1 
BOUNDARY
FILE: A_1753_1.RIGHT_CC.OVERLAY

TOTAL_ABNORMALITIES 1
ABNORMALITY 1 
LESION_TYPE CALCIFICATION TYPE PLEOMORPHIC DISTRIBUTION CLUSTERED
ASSESSMENT 4 
SUBTLETY 1 
PATHOLOGY BENIGN
TOTAL_OUTLINES 1 
BOUNDARY