Digital Database for Screening Mammography

Volume: benign_08 Case: A-1757-1


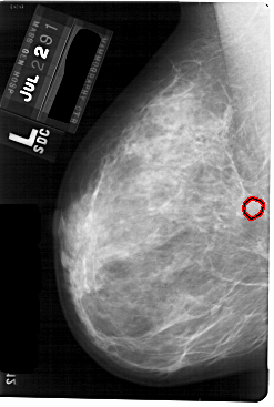
A_1757_1.LEFT_MLO

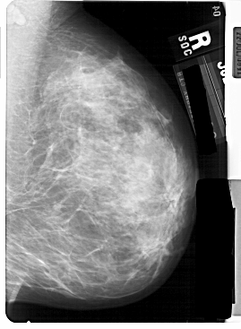
A_1757_1.RIGHT_MLO

A_1757_1.LEFT_CC

A_1757_1.RIGHT_CC

ics_version 1.0
filename A-1757-1
DATE_OF_STUDY 22 7 1991
PATIENT_AGE 37
FILM
FILM_TYPE REGULAR
DENSITY 4
DATE_DIGITIZED 16 3 1999
DIGITIZER HOWTEK 43.5
SEQUENCE
LEFT_CC LINES 5491 PIXELS_PER_LINE 3646 BITS_PER_PIXEL 12 RESOLUTION 43.5 OVERLAY
LEFT_MLO LINES 5491 PIXELS_PER_LINE 3691 BITS_PER_PIXEL 12 RESOLUTION 43.5 OVERLAY
RIGHT_CC LINES 5491 PIXELS_PER_LINE 3751 BITS_PER_PIXEL 12 RESOLUTION 43.5 NON_OVERLAY
RIGHT_MLO LINES 5491 PIXELS_PER_LINE 4021 BITS_PER_PIXEL 12 RESOLUTION 43.5 NON_OVERLAY

FILE: A_1757_1.LEFT_MLO.OVERLAY

TOTAL_ABNORMALITIES 1
ABNORMALITY 1 
LESION_TYPE MASS SHAPE ROUND MARGINS OBSCURED
ASSESSMENT 3 
SUBTLETY 3 
PATHOLOGY BENIGN
TOTAL_OUTLINES 1 
BOUNDARY
FILE: A_1757_1.LEFT_CC.OVERLAY

TOTAL_ABNORMALITIES 1
ABNORMALITY 1 
LESION_TYPE MASS SHAPE ROUND MARGINS OBSCURED
ASSESSMENT 3 
SUBTLETY 3 
PATHOLOGY BENIGN
TOTAL_OUTLINES 1 
BOUNDARY