ics_version 1.0
filename A-1779-1
DATE_OF_STUDY 28 5 1998
PATIENT_AGE 42
FILM
FILM_TYPE REGULAR
DENSITY 1
DATE_DIGITIZED 20 4 1999
DIGITIZER HOWTEK 43.5
SEQUENCE
LEFT_CC LINES 6706 PIXELS_PER_LINE 4186 BITS_PER_PIXEL 12 RESOLUTION 43.5 NON_OVERLAY
LEFT_MLO LINES 6316 PIXELS_PER_LINE 4336 BITS_PER_PIXEL 12 RESOLUTION 43.5 NON_OVERLAY
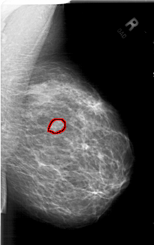
RIGHT_CC LINES 6331 PIXELS_PER_LINE 4036 BITS_PER_PIXEL 12 RESOLUTION 43.5 OVERLAY
RIGHT_MLO LINES 6406 PIXELS_PER_LINE 4021 BITS_PER_PIXEL 12 RESOLUTION 43.5 OVERLAY
|