Digital Database for Screening Mammography

Volume: benign_09 Case: D-4054-1


D_4054_1.RIGHT_MLO

D_4054_1.LEFT_MLO

D_4054_1.RIGHT_CC

D_4054_1.LEFT_CC

ics_version 1.0
filename D-4054-1
DATE_OF_STUDY 22 6 1994
PATIENT_AGE 57
FILM
FILM_TYPE REGULAR
DENSITY 2
DATE_DIGITIZED 7 5 1999
DIGITIZER HOWTEK 43.5
SEQUENCE
LEFT_CC LINES 5326 PIXELS_PER_LINE 2971 BITS_PER_PIXEL 12 RESOLUTION 43.5 OVERLAY
LEFT_MLO LINES 5386 PIXELS_PER_LINE 3001 BITS_PER_PIXEL 12 RESOLUTION 43.5 OVERLAY
RIGHT_CC LINES 5206 PIXELS_PER_LINE 3301 BITS_PER_PIXEL 12 RESOLUTION 43.5 NON_OVERLAY
RIGHT_MLO LINES 5116 PIXELS_PER_LINE 3181 BITS_PER_PIXEL 12 RESOLUTION 43.5 NON_OVERLAY

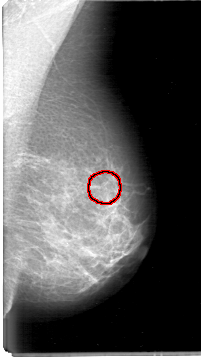
FILE: D_4054_1.LEFT_MLO.OVERLAY

TOTAL_ABNORMALITIES 1
ABNORMALITY 1 
LESION_TYPE CALCIFICATION TYPE MILK_OF_CALCIUM DISTRIBUTION CLUSTERED
ASSESSMENT 0 
SUBTLETY 3 
PATHOLOGY BENIGN
TOTAL_OUTLINES 1 
BOUNDARY
FILE: D_4054_1.LEFT_CC.OVERLAY

TOTAL_ABNORMALITIES 1
ABNORMALITY 1 
LESION_TYPE CALCIFICATION TYPE MILK_OF_CALCIUM DISTRIBUTION CLUSTERED
ASSESSMENT 0 
SUBTLETY 3 
PATHOLOGY BENIGN
TOTAL_OUTLINES 1 
BOUNDARY