Digital Database for Screening Mammography

Volume: benign_09 Case: D-4079-1


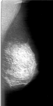
D_4079_1.RIGHT_MLO

D_4079_1.LEFT_MLO

D_4079_1.RIGHT_CC

D_4079_1.LEFT_CC

ics_version 1.0
filename D-4079-1
DATE_OF_STUDY 4 3 1998
PATIENT_AGE 62
FILM
FILM_TYPE REGULAR
DENSITY 4
DATE_DIGITIZED 10 5 1999
DIGITIZER HOWTEK 43.5
SEQUENCE
LEFT_CC LINES 5296 PIXELS_PER_LINE 2491 BITS_PER_PIXEL 12 RESOLUTION 43.5 NON_OVERLAY
LEFT_MLO LINES 5101 PIXELS_PER_LINE 2566 BITS_PER_PIXEL 12 RESOLUTION 43.5 NON_OVERLAY
RIGHT_CC LINES 5236 PIXELS_PER_LINE 2221 BITS_PER_PIXEL 12 RESOLUTION 43.5 OVERLAY
RIGHT_MLO LINES 5131 PIXELS_PER_LINE 2521 BITS_PER_PIXEL 12 RESOLUTION 43.5 OVERLAY

FILE: D_4079_1.RIGHT_MLO.OVERLAY

TOTAL_ABNORMALITIES 1
ABNORMALITY 1 
LESION_TYPE MASS SHAPE LOBULATED MARGINS OBSCURED
ASSESSMENT 0 
SUBTLETY 3 
PATHOLOGY BENIGN
TOTAL_OUTLINES 1 
BOUNDARY
FILE: D_4079_1.RIGHT_CC.OVERLAY

TOTAL_ABNORMALITIES 1
ABNORMALITY 1 
LESION_TYPE MASS SHAPE LOBULATED MARGINS OBSCURED
ASSESSMENT 0 
SUBTLETY 3 
PATHOLOGY BENIGN
TOTAL_OUTLINES 1 
BOUNDARY