Digital Database for Screening Mammography

Volume: benign_11 Case: A-1791-1


A_1791_1.LEFT_MLO

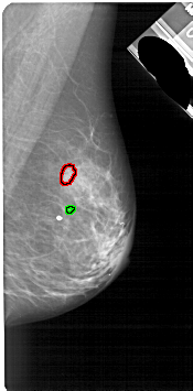
A_1791_1.RIGHT_MLO

A_1791_1.LEFT_CC

A_1791_1.RIGHT_CC

ics_version 1.0
filename A-1791-1
DATE_OF_STUDY 7 10 1996
PATIENT_AGE 54
FILM
FILM_TYPE REGULAR
DENSITY 2
DATE_DIGITIZED 19 4 1999
DIGITIZER HOWTEK 43.5
SEQUENCE
LEFT_CC LINES 5041 PIXELS_PER_LINE 2626 BITS_PER_PIXEL 12 RESOLUTION 43.5 NON_OVERLAY
LEFT_MLO LINES 5356 PIXELS_PER_LINE 2626 BITS_PER_PIXEL 12 RESOLUTION 43.5 NON_OVERLAY
RIGHT_CC LINES 4591 PIXELS_PER_LINE 2506 BITS_PER_PIXEL 12 RESOLUTION 43.5 OVERLAY
RIGHT_MLO LINES 5311 PIXELS_PER_LINE 2611 BITS_PER_PIXEL 12 RESOLUTION 43.5 OVERLAY

FILE: A_1791_1.RIGHT_MLO.OVERLAY

TOTAL_ABNORMALITIES 1
ABNORMALITY 1 
LESION_TYPE CALCIFICATION TYPE PLEOMORPHIC DISTRIBUTION CLUSTERED
ASSESSMENT 4 
SUBTLETY 2 
PATHOLOGY BENIGN
TOTAL_OUTLINES 1 
BOUNDARY
ABNORMALITY 2 
LESION_TYPE CALCIFICATION TYPE PLEOMORPHIC DISTRIBUTION CLUSTERED
ASSESSMENT 4 
SUBTLETY 2 
PATHOLOGY BENIGN
TOTAL_OUTLINES 1 
BOUNDARY
FILE: A_1791_1.RIGHT_CC.OVERLAY

TOTAL_ABNORMALITIES 1
ABNORMALITY 1 
LESION_TYPE CALCIFICATION TYPE PLEOMORPHIC DISTRIBUTION CLUSTERED
ASSESSMENT 4 
SUBTLETY 2 
PATHOLOGY BENIGN
TOTAL_OUTLINES 1 
BOUNDARY
ABNORMALITY 2 
LESION_TYPE CALCIFICATION TYPE PLEOMORPHIC DISTRIBUTION CLUSTERED
ASSESSMENT 4 
SUBTLETY 2 
PATHOLOGY BENIGN
TOTAL_OUTLINES 1 
BOUNDARY