Digital Database for Screening Mammography

Volume: benign_11 Case: A-1800-1


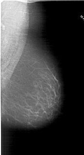
A_1800_1.LEFT_MLO

A_1800_1.RIGHT_MLO

A_1800_1.LEFT_CC

A_1800_1.RIGHT_CC

ics_version 1.0
filename A-1800-1
DATE_OF_STUDY 26 2 1998
PATIENT_AGE 55
FILM
FILM_TYPE REGULAR
DENSITY 2
DATE_DIGITIZED 23 3 1999
DIGITIZER HOWTEK 43.5
SEQUENCE
LEFT_CC LINES 6841 PIXELS_PER_LINE 3466 BITS_PER_PIXEL 12 RESOLUTION 43.5 OVERLAY
LEFT_MLO LINES 6691 PIXELS_PER_LINE 3361 BITS_PER_PIXEL 12 RESOLUTION 43.5 OVERLAY
RIGHT_CC LINES 6196 PIXELS_PER_LINE 3196 BITS_PER_PIXEL 12 RESOLUTION 43.5 NON_OVERLAY
RIGHT_MLO LINES 6016 PIXELS_PER_LINE 3271 BITS_PER_PIXEL 12 RESOLUTION 43.5 NON_OVERLAY

FILE: A_1800_1.LEFT_MLO.OVERLAY

TOTAL_ABNORMALITIES 1
ABNORMALITY 1 
LESION_TYPE MASS SHAPE LOBULATED MARGINS ILL_DEFINED
ASSESSMENT 4 
SUBTLETY 3 
PATHOLOGY BENIGN
TOTAL_OUTLINES 1 
BOUNDARY
FILE: A_1800_1.LEFT_CC.OVERLAY

TOTAL_ABNORMALITIES 1
ABNORMALITY 1 
LESION_TYPE MASS SHAPE LOBULATED MARGINS ILL_DEFINED
ASSESSMENT 4 
SUBTLETY 3 
PATHOLOGY BENIGN
TOTAL_OUTLINES 1 
BOUNDARY