Digital Database for Screening Mammography

Volume: benign_11 Case: A-1829-1


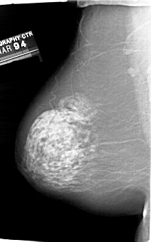
A_1829_1.LEFT_MLO

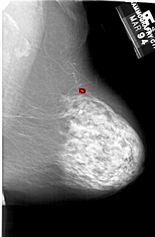
A_1829_1.RIGHT_MLO

A_1829_1.LEFT_CC

A_1829_1.RIGHT_CC

ics_version 1.0
filename A-1829-1
DATE_OF_STUDY 10 3 1994
PATIENT_AGE 71
FILM
FILM_TYPE REGULAR
DENSITY 3
DATE_DIGITIZED 15 6 1998
DIGITIZER HOWTEK 43.5
SEQUENCE
LEFT_CC LINES 6751 PIXELS_PER_LINE 4006 BITS_PER_PIXEL 12 RESOLUTION 43.5 NON_OVERLAY
LEFT_MLO LINES 6676 PIXELS_PER_LINE 4171 BITS_PER_PIXEL 12 RESOLUTION 43.5 NON_OVERLAY
RIGHT_CC LINES 6601 PIXELS_PER_LINE 4036 BITS_PER_PIXEL 12 RESOLUTION 43.5 OVERLAY
RIGHT_MLO LINES 6436 PIXELS_PER_LINE 4201 BITS_PER_PIXEL 12 RESOLUTION 43.5 OVERLAY

FILE: A_1829_1.RIGHT_MLO.OVERLAY

TOTAL_ABNORMALITIES 1
ABNORMALITY 1 
LESION_TYPE CALCIFICATION TYPE PLEOMORPHIC DISTRIBUTION CLUSTERED
ASSESSMENT 4 
SUBTLETY 3 
PATHOLOGY BENIGN
TOTAL_OUTLINES 1 
BOUNDARY
FILE: A_1829_1.RIGHT_CC.OVERLAY

TOTAL_ABNORMALITIES 1
ABNORMALITY 1 
LESION_TYPE CALCIFICATION TYPE PLEOMORPHIC DISTRIBUTION CLUSTERED
ASSESSMENT 4 
SUBTLETY 3 
PATHOLOGY BENIGN
TOTAL_OUTLINES 1 
BOUNDARY