![]() |
![]() |
![]() |
![]() |
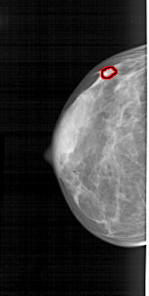
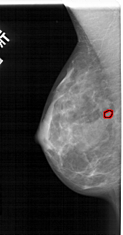
ics_version 1.0 filename A-1841-1 DATE_OF_STUDY 9 8 1996 PATIENT_AGE 45 FILM FILM_TYPE REGULAR DENSITY 4 DATE_DIGITIZED 18 5 1999 DIGITIZER HOWTEK 43.5 SEQUENCE LEFT_CC LINES 4636 PIXELS_PER_LINE 2326 BITS_PER_PIXEL 12 RESOLUTION 43.5 OVERLAY LEFT_MLO LINES 5041 PIXELS_PER_LINE 2626 BITS_PER_PIXEL 12 RESOLUTION 43.5 OVERLAY RIGHT_CC LINES 4936 PIXELS_PER_LINE 2461 BITS_PER_PIXEL 12 RESOLUTION 43.5 NON_OVERLAY RIGHT_MLO LINES 5491 PIXELS_PER_LINE 2551 BITS_PER_PIXEL 12 RESOLUTION 43.5 NON_OVERLAY |
FILE: A_1841_1.LEFT_MLO.OVERLAY TOTAL_ABNORMALITIES 1 ABNORMALITY 1 LESION_TYPE CALCIFICATION TYPE PLEOMORPHIC DISTRIBUTION CLUSTERED ASSESSMENT 4 SUBTLETY 1 PATHOLOGY BENIGN TOTAL_OUTLINES 1 BOUNDARY |
FILE: A_1841_1.LEFT_CC.OVERLAY TOTAL_ABNORMALITIES 1 ABNORMALITY 1 LESION_TYPE CALCIFICATION TYPE PLEOMORPHIC DISTRIBUTION CLUSTERED ASSESSMENT 4 SUBTLETY 1 PATHOLOGY BENIGN TOTAL_OUTLINES 1 BOUNDARY |