Digital Database for Screening Mammography

Volume: benign_11 Case: A-1842-1


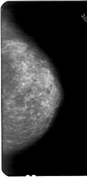
A_1842_1.LEFT_MLO

A_1842_1.RIGHT_MLO

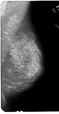
A_1842_1.LEFT_CC

A_1842_1.RIGHT_CC

ics_version 1.0
filename A-1842-1
DATE_OF_STUDY 1 5 1996
PATIENT_AGE 56
FILM
FILM_TYPE REGULAR
DENSITY 3
DATE_DIGITIZED 19 5 1999
DIGITIZER HOWTEK 43.5
SEQUENCE
LEFT_CC LINES 5206 PIXELS_PER_LINE 2746 BITS_PER_PIXEL 12 RESOLUTION 43.5 OVERLAY
LEFT_MLO LINES 5491 PIXELS_PER_LINE 3121 BITS_PER_PIXEL 12 RESOLUTION 43.5 OVERLAY
RIGHT_CC LINES 5446 PIXELS_PER_LINE 2656 BITS_PER_PIXEL 12 RESOLUTION 43.5 NON_OVERLAY
RIGHT_MLO LINES 5491 PIXELS_PER_LINE 2821 BITS_PER_PIXEL 12 RESOLUTION 43.5 NON_OVERLAY

FILE: A_1842_1.LEFT_MLO.OVERLAY

TOTAL_ABNORMALITIES 1
ABNORMALITY 1 
LESION_TYPE MASS SHAPE LOBULATED MARGINS CIRCUMSCRIBED
ASSESSMENT 4 
SUBTLETY 3 
PATHOLOGY BENIGN
TOTAL_OUTLINES 1 
BOUNDARY
FILE: A_1842_1.LEFT_CC.OVERLAY

TOTAL_ABNORMALITIES 1
ABNORMALITY 1 
LESION_TYPE MASS SHAPE LOBULATED MARGINS CIRCUMSCRIBED
ASSESSMENT 4 
SUBTLETY 3 
PATHOLOGY BENIGN
TOTAL_OUTLINES 1 
BOUNDARY