Digital Database for Screening Mammography

Volume: benign_11 Case: A-1845-1


A_1845_1.LEFT_MLO

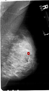
A_1845_1.RIGHT_MLO

A_1845_1.LEFT_CC

A_1845_1.RIGHT_CC

ics_version 1.0
filename A-1845-1
DATE_OF_STUDY 30 6 1998
PATIENT_AGE 46
FILM
FILM_TYPE REGULAR
DENSITY 4
DATE_DIGITIZED 14 5 1999
DIGITIZER HOWTEK 43.5
SEQUENCE
LEFT_CC LINES 5326 PIXELS_PER_LINE 2971 BITS_PER_PIXEL 12 RESOLUTION 43.5 NON_OVERLAY
LEFT_MLO LINES 5491 PIXELS_PER_LINE 3136 BITS_PER_PIXEL 12 RESOLUTION 43.5 NON_OVERLAY
RIGHT_CC LINES 5011 PIXELS_PER_LINE 2776 BITS_PER_PIXEL 12 RESOLUTION 43.5 OVERLAY
RIGHT_MLO LINES 5491 PIXELS_PER_LINE 2941 BITS_PER_PIXEL 12 RESOLUTION 43.5 OVERLAY

FILE: A_1845_1.RIGHT_MLO.OVERLAY

TOTAL_ABNORMALITIES 1
ABNORMALITY 1 
LESION_TYPE CALCIFICATION TYPE PUNCTATE DISTRIBUTION CLUSTERED
ASSESSMENT 4 
SUBTLETY 1 
PATHOLOGY BENIGN
TOTAL_OUTLINES 1 
BOUNDARY
FILE: A_1845_1.RIGHT_CC.OVERLAY

TOTAL_ABNORMALITIES 1
ABNORMALITY 1 
LESION_TYPE CALCIFICATION TYPE PUNCTATE DISTRIBUTION CLUSTERED
ASSESSMENT 4 
SUBTLETY 1 
PATHOLOGY BENIGN
TOTAL_OUTLINES 1 
BOUNDARY