Digital Database for Screening Mammography

Volume: benign_11 Case: A-1859-1


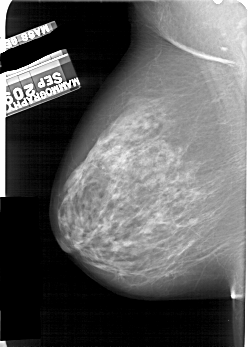
A_1859_1.LEFT_MLO

A_1859_1.RIGHT_MLO

A_1859_1.LEFT_CC

A_1859_1.RIGHT_CC

ics_version 1.0
filename A-1859-1
DATE_OF_STUDY 20 9 1993
PATIENT_AGE 71
FILM
FILM_TYPE REGULAR
DENSITY 3
DATE_DIGITIZED 26 5 1999
DIGITIZER HOWTEK 43.5
SEQUENCE
LEFT_CC LINES 5461 PIXELS_PER_LINE 3586 BITS_PER_PIXEL 12 RESOLUTION 43.5 NON_OVERLAY
LEFT_MLO LINES 5191 PIXELS_PER_LINE 3736 BITS_PER_PIXEL 12 RESOLUTION 43.5 NON_OVERLAY
RIGHT_CC LINES 5491 PIXELS_PER_LINE 3286 BITS_PER_PIXEL 12 RESOLUTION 43.5 OVERLAY
RIGHT_MLO LINES 5491 PIXELS_PER_LINE 3616 BITS_PER_PIXEL 12 RESOLUTION 43.5 OVERLAY

FILE: A_1859_1.RIGHT_MLO.OVERLAY

TOTAL_ABNORMALITIES 1
ABNORMALITY 1 
LESION_TYPE CALCIFICATION TYPE PLEOMORPHIC DISTRIBUTION CLUSTERED
ASSESSMENT 4 
SUBTLETY 4 
PATHOLOGY BENIGN
TOTAL_OUTLINES 1 
BOUNDARY
FILE: A_1859_1.RIGHT_CC.OVERLAY

TOTAL_ABNORMALITIES 1
ABNORMALITY 1 
LESION_TYPE CALCIFICATION TYPE PLEOMORPHIC DISTRIBUTION CLUSTERED
ASSESSMENT 4 
SUBTLETY 4 
PATHOLOGY BENIGN
TOTAL_OUTLINES 1 
BOUNDARY