Digital Database for Screening Mammography

Volume: benign_11 Case: A-1860-1


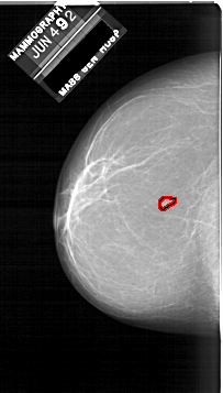
A_1860_1.LEFT_MLO

A_1860_1.RIGHT_MLO

A_1860_1.LEFT_CC

A_1860_1.RIGHT_CC

ics_version 1.0
filename A-1860-1
DATE_OF_STUDY 4 6 1992
PATIENT_AGE 64
FILM
FILM_TYPE REGULAR
DENSITY 1
DATE_DIGITIZED 2 6 1999
DIGITIZER HOWTEK 43.5
SEQUENCE
LEFT_CC LINES 6061 PIXELS_PER_LINE 3451 BITS_PER_PIXEL 12 RESOLUTION 43.5 OVERLAY
LEFT_MLO LINES 6871 PIXELS_PER_LINE 3586 BITS_PER_PIXEL 12 RESOLUTION 43.5 OVERLAY
RIGHT_CC LINES 6001 PIXELS_PER_LINE 3331 BITS_PER_PIXEL 12 RESOLUTION 43.5 NON_OVERLAY
RIGHT_MLO LINES 6106 PIXELS_PER_LINE 3451 BITS_PER_PIXEL 12 RESOLUTION 43.5 NON_OVERLAY

FILE: A_1860_1.LEFT_MLO.OVERLAY

TOTAL_ABNORMALITIES 1
ABNORMALITY 1 
LESION_TYPE MASS SHAPE IRREGULAR MARGINS ILL_DEFINED
ASSESSMENT 4 
SUBTLETY 3 
PATHOLOGY BENIGN
TOTAL_OUTLINES 1 
BOUNDARY
FILE: A_1860_1.LEFT_CC.OVERLAY

TOTAL_ABNORMALITIES 1
ABNORMALITY 1 
LESION_TYPE MASS SHAPE IRREGULAR MARGINS ILL_DEFINED
ASSESSMENT 4 
SUBTLETY 3 
PATHOLOGY BENIGN
TOTAL_OUTLINES 1 
BOUNDARY