Digital Database for Screening Mammography

Volume: benign_11 Case: A-1866-1


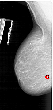
A_1866_1.LEFT_MLO

A_1866_1.RIGHT_MLO

A_1866_1.LEFT_CC

A_1866_1.RIGHT_CC

ics_version 1.0
filename A-1866-1
DATE_OF_STUDY 13 12 1990
PATIENT_AGE 72
FILM
FILM_TYPE REGULAR
DENSITY 1
DATE_DIGITIZED 27 5 1999
DIGITIZER HOWTEK 43.5
SEQUENCE
LEFT_CC LINES 6376 PIXELS_PER_LINE 3271 BITS_PER_PIXEL 12 RESOLUTION 43.5 OVERLAY
LEFT_MLO LINES 6466 PIXELS_PER_LINE 3106 BITS_PER_PIXEL 12 RESOLUTION 43.5 OVERLAY
RIGHT_CC LINES 5581 PIXELS_PER_LINE 3121 BITS_PER_PIXEL 12 RESOLUTION 43.5 NON_OVERLAY
RIGHT_MLO LINES 5881 PIXELS_PER_LINE 3016 BITS_PER_PIXEL 12 RESOLUTION 43.5 NON_OVERLAY

FILE: A_1866_1.LEFT_MLO.OVERLAY

TOTAL_ABNORMALITIES 1
ABNORMALITY 1 
LESION_TYPE CALCIFICATION TYPE PLEOMORPHIC DISTRIBUTION CLUSTERED
ASSESSMENT 4 
SUBTLETY 4 
PATHOLOGY BENIGN
TOTAL_OUTLINES 1 
BOUNDARY
FILE: A_1866_1.LEFT_CC.OVERLAY

TOTAL_ABNORMALITIES 1
ABNORMALITY 1 
LESION_TYPE CALCIFICATION TYPE PLEOMORPHIC DISTRIBUTION CLUSTERED
ASSESSMENT 4 
SUBTLETY 4 
PATHOLOGY BENIGN
TOTAL_OUTLINES 1 
BOUNDARY