Digital Database for Screening Mammography

Volume: benign_12 Case: A-1795-1


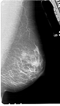
A_1795_1.LEFT_MLO

A_1795_1.RIGHT_MLO

A_1795_1.LEFT_CC

A_1795_1.RIGHT_CC

ics_version 1.0
filename A-1795-1
DATE_OF_STUDY 11 3 1996
PATIENT_AGE 42
FILM
FILM_TYPE REGULAR
DENSITY 1
DATE_DIGITIZED 23 4 1999
DIGITIZER HOWTEK 43.5
SEQUENCE
LEFT_CC LINES 5326 PIXELS_PER_LINE 3031 BITS_PER_PIXEL 12 RESOLUTION 43.5 OVERLAY
LEFT_MLO LINES 5491 PIXELS_PER_LINE 3211 BITS_PER_PIXEL 12 RESOLUTION 43.5 OVERLAY
RIGHT_CC LINES 5431 PIXELS_PER_LINE 2941 BITS_PER_PIXEL 12 RESOLUTION 43.5 NON_OVERLAY
RIGHT_MLO LINES 5491 PIXELS_PER_LINE 3091 BITS_PER_PIXEL 12 RESOLUTION 43.5 NON_OVERLAY

FILE: A_1795_1.LEFT_MLO.OVERLAY

TOTAL_ABNORMALITIES 1
ABNORMALITY 1 
LESION_TYPE MASS SHAPE IRREGULAR MARGINS ILL_DEFINED
ASSESSMENT 4 
SUBTLETY 2 
PATHOLOGY BENIGN
TOTAL_OUTLINES 1 
BOUNDARY
FILE: A_1795_1.LEFT_CC.OVERLAY

TOTAL_ABNORMALITIES 1
ABNORMALITY 1 
LESION_TYPE MASS SHAPE IRREGULAR MARGINS ILL_DEFINED
ASSESSMENT 4 
SUBTLETY 2 
PATHOLOGY BENIGN
TOTAL_OUTLINES 1 
BOUNDARY