Digital Database for Screening Mammography

Volume: benign_12 Case: A-1890-1


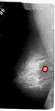
A_1890_1.LEFT_MLO

A_1890_1.RIGHT_MLO

A_1890_1.LEFT_CC

A_1890_1.RIGHT_CC

ics_version 1.0
filename A-1890-1
DATE_OF_STUDY 8 5 1998
PATIENT_AGE 59
FILM
FILM_TYPE REGULAR
DENSITY 3
DATE_DIGITIZED 23 3 1999
DIGITIZER HOWTEK 43.5
SEQUENCE
LEFT_CC LINES 4381 PIXELS_PER_LINE 2311 BITS_PER_PIXEL 12 RESOLUTION 43.5 OVERLAY
LEFT_MLO LINES 5491 PIXELS_PER_LINE 2716 BITS_PER_PIXEL 12 RESOLUTION 43.5 OVERLAY
RIGHT_CC LINES 4966 PIXELS_PER_LINE 2506 BITS_PER_PIXEL 12 RESOLUTION 43.5 NON_OVERLAY
RIGHT_MLO LINES 5491 PIXELS_PER_LINE 2896 BITS_PER_PIXEL 12 RESOLUTION 43.5 NON_OVERLAY

FILE: A_1890_1.LEFT_MLO.OVERLAY

TOTAL_ABNORMALITIES 1
ABNORMALITY 1 
LESION_TYPE MASS SHAPE ROUND MARGINS OBSCURED
ASSESSMENT 4 
SUBTLETY 4 
PATHOLOGY BENIGN
TOTAL_OUTLINES 1 
BOUNDARY
FILE: A_1890_1.LEFT_CC.OVERLAY

TOTAL_ABNORMALITIES 1
ABNORMALITY 1 
LESION_TYPE MASS SHAPE ROUND MARGINS OBSCURED
ASSESSMENT 4 
SUBTLETY 4 
PATHOLOGY BENIGN
TOTAL_OUTLINES 1 
BOUNDARY