Digital Database for Screening Mammography

Volume: benign_12 Case: A-1912-1


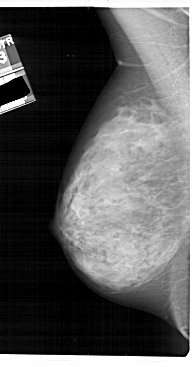
A_1912_1.LEFT_MLO

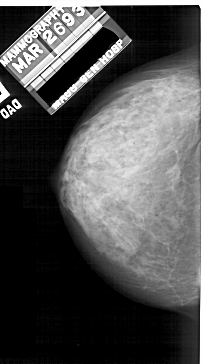
A_1912_1.RIGHT_MLO

A_1912_1.LEFT_CC

A_1912_1.RIGHT_CC

ics_version 1.0
filename A-1912-1
DATE_OF_STUDY 26 3 1993
PATIENT_AGE 69
FILM
FILM_TYPE REGULAR
DENSITY 4
DATE_DIGITIZED 24 6 1999
DIGITIZER HOWTEK 43.5
SEQUENCE
LEFT_CC LINES 5086 PIXELS_PER_LINE 2836 BITS_PER_PIXEL 12 RESOLUTION 43.5 NON_OVERLAY
LEFT_MLO LINES 5491 PIXELS_PER_LINE 2881 BITS_PER_PIXEL 12 RESOLUTION 43.5 NON_OVERLAY
RIGHT_CC LINES 4531 PIXELS_PER_LINE 2356 BITS_PER_PIXEL 12 RESOLUTION 43.5 OVERLAY
RIGHT_MLO LINES 5491 PIXELS_PER_LINE 2581 BITS_PER_PIXEL 12 RESOLUTION 43.5 OVERLAY

FILE: A_1912_1.RIGHT_MLO.OVERLAY

TOTAL_ABNORMALITIES 1
ABNORMALITY 1 
LESION_TYPE MASS SHAPE OVAL MARGINS OBSCURED
ASSESSMENT 3 
SUBTLETY 3 
PATHOLOGY BENIGN
TOTAL_OUTLINES 1 
BOUNDARY
FILE: A_1912_1.RIGHT_CC.OVERLAY

TOTAL_ABNORMALITIES 1
ABNORMALITY 1 
LESION_TYPE MASS SHAPE OVAL MARGINS OBSCURED
ASSESSMENT 3 
SUBTLETY 3 
PATHOLOGY BENIGN
TOTAL_OUTLINES 1 
BOUNDARY