![]() |
![]() |
![]() |
![]() |
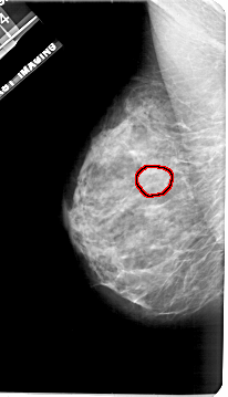
ics_version 1.0 filename A-1921-1 DATE_OF_STUDY 7 6 1994 PATIENT_AGE 36 FILM FILM_TYPE REGULAR DENSITY 4 DATE_DIGITIZED 22 6 1999 DIGITIZER HOWTEK 43.5 SEQUENCE LEFT_CC LINES 5011 PIXELS_PER_LINE 2851 BITS_PER_PIXEL 12 RESOLUTION 43.5 OVERLAY LEFT_MLO LINES 5371 PIXELS_PER_LINE 3076 BITS_PER_PIXEL 12 RESOLUTION 43.5 OVERLAY RIGHT_CC LINES 5131 PIXELS_PER_LINE 2551 BITS_PER_PIXEL 12 RESOLUTION 43.5 NON_OVERLAY RIGHT_MLO LINES 5461 PIXELS_PER_LINE 2626 BITS_PER_PIXEL 12 RESOLUTION 43.5 NON_OVERLAY |
FILE: A_1921_1.LEFT_MLO.OVERLAY TOTAL_ABNORMALITIES 1 ABNORMALITY 1 LESION_TYPE MASS SHAPE OVAL MARGINS OBSCURED ASSESSMENT 3 SUBTLETY 2 PATHOLOGY BENIGN TOTAL_OUTLINES 1 BOUNDARY |
FILE: A_1921_1.LEFT_CC.OVERLAY TOTAL_ABNORMALITIES 1 ABNORMALITY 1 LESION_TYPE MASS SHAPE OVAL MARGINS OBSCURED ASSESSMENT 3 SUBTLETY 2 PATHOLOGY BENIGN TOTAL_OUTLINES 1 BOUNDARY |