Digital Database for Screening Mammography

Volume: benign_12 Case: A-1924-1


A_1924_1.LEFT_MLO

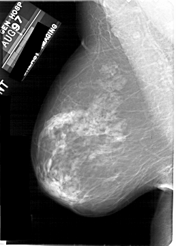
A_1924_1.RIGHT_MLO

A_1924_1.LEFT_CC

A_1924_1.RIGHT_CC

ics_version 1.0
filename A-1924-1
DATE_OF_STUDY 13 8 1997
PATIENT_AGE 72
FILM
FILM_TYPE REGULAR
DENSITY 3
DATE_DIGITIZED 22 6 1999
DIGITIZER HOWTEK 43.5
SEQUENCE
LEFT_CC LINES 5176 PIXELS_PER_LINE 3271 BITS_PER_PIXEL 12 RESOLUTION 43.5 NON_OVERLAY
LEFT_MLO LINES 5386 PIXELS_PER_LINE 3856 BITS_PER_PIXEL 12 RESOLUTION 43.5 NON_OVERLAY
RIGHT_CC LINES 5266 PIXELS_PER_LINE 3166 BITS_PER_PIXEL 12 RESOLUTION 43.5 OVERLAY
RIGHT_MLO LINES 5311 PIXELS_PER_LINE 3316 BITS_PER_PIXEL 12 RESOLUTION 43.5 OVERLAY

FILE: A_1924_1.RIGHT_MLO.OVERLAY

TOTAL_ABNORMALITIES 1
ABNORMALITY 1 
LESION_TYPE CALCIFICATION TYPE PLEOMORPHIC DISTRIBUTION CLUSTERED
ASSESSMENT 4 
SUBTLETY 4 
PATHOLOGY BENIGN
TOTAL_OUTLINES 1 
BOUNDARY
FILE: A_1924_1.RIGHT_CC.OVERLAY

TOTAL_ABNORMALITIES 1
ABNORMALITY 1 
LESION_TYPE CALCIFICATION TYPE PLEOMORPHIC DISTRIBUTION CLUSTERED
ASSESSMENT 4 
SUBTLETY 4 
PATHOLOGY BENIGN
TOTAL_OUTLINES 1 
BOUNDARY