Digital Database for Screening Mammography

Volume: HtmlThumbnail Case: A-2001-1


A_2001_1.LEFT_MLO

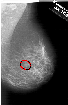
A_2001_1.RIGHT_MLO

A_2001_1.LEFT_CC

A_2001_1.RIGHT_CC

ics_version 1.0
filename A-2001-1
DATE_OF_STUDY 18 7 1995
PATIENT_AGE 72
FILM
FILM_TYPE REGULAR
DENSITY 3
DATE_DIGITIZED 3 9 1998
DIGITIZER HOWTEK 43.5
SEQUENCE
LEFT_CC LINES 6106 PIXELS_PER_LINE 3631 BITS_PER_PIXEL 12 RESOLUTION 43.5 NON_OVERLAY
LEFT_MLO LINES 6196 PIXELS_PER_LINE 3886 BITS_PER_PIXEL 12 RESOLUTION 43.5 NON_OVERLAY
RIGHT_CC LINES 6316 PIXELS_PER_LINE 3766 BITS_PER_PIXEL 12 RESOLUTION 43.5 OVERLAY
RIGHT_MLO LINES 6151 PIXELS_PER_LINE 3976 BITS_PER_PIXEL 12 RESOLUTION 43.5 OVERLAY

FILE: A_2001_1.RIGHT_MLO.OVERLAY

TOTAL_ABNORMALITIES 1
ABNORMALITY 1 
LESION_TYPE MASS SHAPE OVAL MARGINS OBSCURED
ASSESSMENT 2 
SUBTLETY 3 
PATHOLOGY BENIGN
TOTAL_OUTLINES 1 
BOUNDARY
FILE: A_2001_1.RIGHT_CC.OVERLAY

TOTAL_ABNORMALITIES 1
ABNORMALITY 1 
LESION_TYPE MASS SHAPE OVAL MARGINS OBSCURED
ASSESSMENT 2 
SUBTLETY 3 
PATHOLOGY BENIGN
TOTAL_OUTLINES 1 
BOUNDARY