Digital Database for Screening Mammography

Volume: benign_13 Case: C-0473-1


C_0473_1.RIGHT_MLO

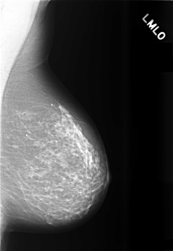
C_0473_1.LEFT_MLO

C_0473_1.RIGHT_CC

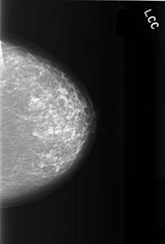
C_0473_1.LEFT_CC

ics_version 1.0
filename C-0473-1
DATE_OF_STUDY 6 6 1994
PATIENT_AGE 67
FILM
FILM_TYPE REGULAR
DENSITY 2
DATE_DIGITIZED 10 2 1999
DIGITIZER LUMISYS LASER
SEQUENCE
LEFT_CC LINES 5640 PIXELS_PER_LINE 3816 BITS_PER_PIXEL 12 RESOLUTION 50 NON_OVERLAY
LEFT_MLO LINES 5664 PIXELS_PER_LINE 3896 BITS_PER_PIXEL 12 RESOLUTION 50 NON_OVERLAY
RIGHT_CC LINES 5760 PIXELS_PER_LINE 4040 BITS_PER_PIXEL 12 RESOLUTION 50 OVERLAY
RIGHT_MLO LINES 5712 PIXELS_PER_LINE 3968 BITS_PER_PIXEL 12 RESOLUTION 50 OVERLAY

FILE: C_0473_1.RIGHT_MLO.OVERLAY

TOTAL_ABNORMALITIES 1
ABNORMALITY 1
LESION_TYPE CALCIFICATION TYPE FINE_LINEAR_BRANCHING DISTRIBUTION LINEAR
ASSESSMENT 4
SUBTLETY 3
PATHOLOGY BENIGN
TOTAL_OUTLINES 1 
BOUNDARY
FILE: C_0473_1.RIGHT_CC.OVERLAY

TOTAL_ABNORMALITIES 1
ABNORMALITY 1
LESION_TYPE CALCIFICATION TYPE FINE_LINEAR_BRANCHING DISTRIBUTION LINEAR
ASSESSMENT 4
SUBTLETY 2
PATHOLOGY BENIGN
TOTAL_OUTLINES 1 
BOUNDARY