Digital Database for Screening Mammography

Volume: benign_13 Case: C-0488-1


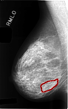
C_0488_1.RIGHT_MLO

C_0488_1.LEFT_MLO

C_0488_1.RIGHT_CC

C_0488_1.LEFT_CC

ics_version 1.0
filename C-0488-1
DATE_OF_STUDY 27 7 1994
PATIENT_AGE 49
FILM
FILM_TYPE REGULAR
DENSITY 2
DATE_DIGITIZED 2 3 1999
DIGITIZER LUMISYS LASER
SEQUENCE
LEFT_CC LINES 4528 PIXELS_PER_LINE 2888 BITS_PER_PIXEL 12 RESOLUTION 50 NON_OVERLAY
LEFT_MLO LINES 4520 PIXELS_PER_LINE 2864 BITS_PER_PIXEL 12 RESOLUTION 50 NON_OVERLAY
RIGHT_CC LINES 4624 PIXELS_PER_LINE 2912 BITS_PER_PIXEL 12 RESOLUTION 50 OVERLAY
RIGHT_MLO LINES 4616 PIXELS_PER_LINE 2888 BITS_PER_PIXEL 12 RESOLUTION 50 OVERLAY

FILE: C_0488_1.RIGHT_MLO.OVERLAY

TOTAL_ABNORMALITIES 1
ABNORMALITY 1
LESION_TYPE CALCIFICATION TYPE PUNCTATE DISTRIBUTION SEGMENTAL
ASSESSMENT 4
SUBTLETY 4
PATHOLOGY BENIGN
TOTAL_OUTLINES 1 
BOUNDARY
FILE: C_0488_1.RIGHT_CC.OVERLAY

TOTAL_ABNORMALITIES 1
ABNORMALITY 1
LESION_TYPE CALCIFICATION TYPE PUNCTATE DISTRIBUTION SEGMENTAL
ASSESSMENT 4
SUBTLETY 4
PATHOLOGY BENIGN
TOTAL_OUTLINES 1 
BOUNDARY