Digital Database for Screening Mammography

Volume: benign_13 Case: C-0505-1


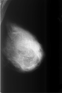
C_0505_1.RIGHT_MLO

C_0505_1.LEFT_MLO

C_0505_1.RIGHT_CC

C_0505_1.LEFT_CC

ics_version 1.0
filename C-0505-1
DATE_OF_STUDY 22 12 1998
PATIENT_AGE 57
FILM
FILM_TYPE REGULAR
DENSITY 4
DATE_DIGITIZED 25 2 1999
DIGITIZER LUMISYS LASER
SEQUENCE
LEFT_CC LINES 5728 PIXELS_PER_LINE 3872 BITS_PER_PIXEL 12 RESOLUTION 50 NON_OVERLAY
LEFT_MLO LINES 5784 PIXELS_PER_LINE 3856 BITS_PER_PIXEL 12 RESOLUTION 50 NON_OVERLAY
RIGHT_CC LINES 5800 PIXELS_PER_LINE 3936 BITS_PER_PIXEL 12 RESOLUTION 50 OVERLAY
RIGHT_MLO LINES 5872 PIXELS_PER_LINE 3704 BITS_PER_PIXEL 12 RESOLUTION 50 OVERLAY

FILE: C_0505_1.RIGHT_MLO.OVERLAY

TOTAL_ABNORMALITIES 1
ABNORMALITY 1
LESION_TYPE CALCIFICATION TYPE DYSTROPHIC DISTRIBUTION CLUSTERED
ASSESSMENT 4
SUBTLETY 5
PATHOLOGY BENIGN
TOTAL_OUTLINES 1 
BOUNDARY
FILE: C_0505_1.RIGHT_CC.OVERLAY

TOTAL_ABNORMALITIES 1
ABNORMALITY 1
LESION_TYPE CALCIFICATION TYPE DYSTROPHIC DISTRIBUTION CLUSTERED
ASSESSMENT 4
SUBTLETY 5
PATHOLOGY BENIGN
TOTAL_OUTLINES 1 
BOUNDARY