Digital Database for Screening Mammography

Volume: benign_13 Case: B-3434-1


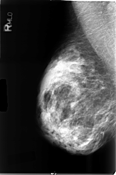
B_3434_1.RIGHT_MLO

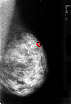
B_3434_1.LEFT_MLO

B_3434_1.RIGHT_CC

B_3434_1.LEFT_CC

ics_version 1.0
filename B-3434-1
DATE_OF_STUDY 11 2 1998
PATIENT_AGE 46
FILM
FILM_TYPE REGULAR
DENSITY 3
DATE_DIGITIZED 1 2 1999
DIGITIZER LUMISYS LASER
SEQUENCE
LEFT_CC LINES 4664 PIXELS_PER_LINE 3104 BITS_PER_PIXEL 12 RESOLUTION 50 OVERLAY
LEFT_MLO LINES 4560 PIXELS_PER_LINE 3088 BITS_PER_PIXEL 12 RESOLUTION 50 OVERLAY
RIGHT_CC LINES 4600 PIXELS_PER_LINE 3072 BITS_PER_PIXEL 12 RESOLUTION 50 NON_OVERLAY
RIGHT_MLO LINES 4664 PIXELS_PER_LINE 3088 BITS_PER_PIXEL 12 RESOLUTION 50 NON_OVERLAY

FILE: B_3434_1.LEFT_MLO.OVERLAY

TOTAL_ABNORMALITIES 1
ABNORMALITY 1
LESION_TYPE CALCIFICATION TYPE PLEOMORPHIC DISTRIBUTION CLUSTERED
ASSESSMENT 4
SUBTLETY 2
PATHOLOGY BENIGN
TOTAL_OUTLINES 1 
BOUNDARY
FILE: B_3434_1.LEFT_CC.OVERLAY

TOTAL_ABNORMALITIES 1
ABNORMALITY 1
LESION_TYPE CALCIFICATION TYPE PLEOMORPHIC DISTRIBUTION CLUSTERED
ASSESSMENT 4
SUBTLETY 2
PATHOLOGY BENIGN
TOTAL_OUTLINES 1 
BOUNDARY