Digital Database for Screening Mammography

Volume: benign_13 Case: B-3458-1


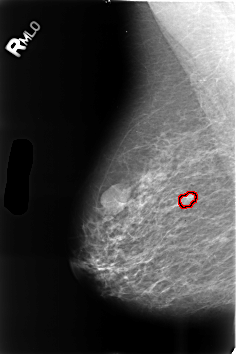
B_3458_1.RIGHT_MLO

B_3458_1.LEFT_MLO

B_3458_1.RIGHT_CC

B_3458_1.LEFT_CC

ics_version 1.0
filename B-3458-1
DATE_OF_STUDY 6 4 1998
PATIENT_AGE 54
FILM
FILM_TYPE REGULAR
DENSITY 2
DATE_DIGITIZED 30 3 1999
DIGITIZER LUMISYS LASER
SEQUENCE
LEFT_CC LINES 4528 PIXELS_PER_LINE 2888 BITS_PER_PIXEL 12 RESOLUTION 50 NON_OVERLAY
LEFT_MLO LINES 4576 PIXELS_PER_LINE 2976 BITS_PER_PIXEL 12 RESOLUTION 50 NON_OVERLAY
RIGHT_CC LINES 4544 PIXELS_PER_LINE 3024 BITS_PER_PIXEL 12 RESOLUTION 50 OVERLAY
RIGHT_MLO LINES 4600 PIXELS_PER_LINE 3056 BITS_PER_PIXEL 12 RESOLUTION 50 OVERLAY

FILE: B_3458_1.RIGHT_MLO.OVERLAY

TOTAL_ABNORMALITIES 1
ABNORMALITY 1
LESION_TYPE MASS SHAPE LOBULATED MARGINS CIRCUMSCRIBED-OBSCURED
ASSESSMENT 4
SUBTLETY 4
PATHOLOGY BENIGN
TOTAL_OUTLINES 1 
BOUNDARY
FILE: B_3458_1.RIGHT_CC.OVERLAY

TOTAL_ABNORMALITIES 1
ABNORMALITY 1
LESION_TYPE MASS SHAPE LOBULATED MARGINS CIRCUMSCRIBED-ILL_DEFINED
ASSESSMENT 4
SUBTLETY 4
PATHOLOGY BENIGN
TOTAL_OUTLINES 1 
BOUNDARY