Digital Database for Screening Mammography

Volume: benign_13 Case: B-3483-1


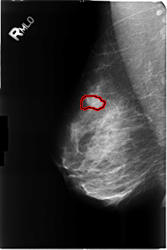
B_3483_1.RIGHT_MLO

B_3483_1.LEFT_MLO

B_3483_1.RIGHT_CC

B_3483_1.LEFT_CC

ics_version 1.0
filename B-3483-1
DATE_OF_STUDY 1 6 1998
PATIENT_AGE 43
FILM
FILM_TYPE REGULAR
DENSITY 3
DATE_DIGITIZED 10 6 1999
DIGITIZER LUMISYS LASER
SEQUENCE
LEFT_CC LINES 4696 PIXELS_PER_LINE 3144 BITS_PER_PIXEL 12 RESOLUTION 50 NON_OVERLAY
LEFT_MLO LINES 4704 PIXELS_PER_LINE 3176 BITS_PER_PIXEL 12 RESOLUTION 50 NON_OVERLAY
RIGHT_CC LINES 4688 PIXELS_PER_LINE 3120 BITS_PER_PIXEL 12 RESOLUTION 50 OVERLAY
RIGHT_MLO LINES 4648 PIXELS_PER_LINE 3096 BITS_PER_PIXEL 12 RESOLUTION 50 OVERLAY

FILE: B_3483_1.RIGHT_MLO.OVERLAY

TOTAL_ABNORMALITIES 1
ABNORMALITY 1
LESION_TYPE MASS SHAPE LOBULATED MARGINS CIRCUMSCRIBED-OBSCURED
ASSESSMENT 4
SUBTLETY 3
PATHOLOGY BENIGN
TOTAL_OUTLINES 1 
BOUNDARY
FILE: B_3483_1.RIGHT_CC.OVERLAY

TOTAL_ABNORMALITIES 1
ABNORMALITY 1
LESION_TYPE MASS SHAPE LOBULATED MARGINS CIRCUMSCRIBED-OBSCURED
ASSESSMENT 4
SUBTLETY 2
PATHOLOGY BENIGN
TOTAL_OUTLINES 1 
BOUNDARY