Digital Database for Screening Mammography

Volume: benign_13 Case: B-3485-1


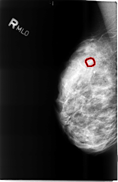
B_3485_1.RIGHT_MLO

B_3485_1.LEFT_MLO

B_3485_1.RIGHT_CC

B_3485_1.LEFT_CC

ics_version 1.0
filename B-3485-1
DATE_OF_STUDY 29 5 1998
PATIENT_AGE 42
FILM
FILM_TYPE REGULAR
DENSITY 3
DATE_DIGITIZED 4 6 1999
DIGITIZER LUMISYS LASER
SEQUENCE
LEFT_CC LINES 4616 PIXELS_PER_LINE 3096 BITS_PER_PIXEL 12 RESOLUTION 50 NON_OVERLAY
LEFT_MLO LINES 4624 PIXELS_PER_LINE 3056 BITS_PER_PIXEL 12 RESOLUTION 50 NON_OVERLAY
RIGHT_CC LINES 4720 PIXELS_PER_LINE 3080 BITS_PER_PIXEL 12 RESOLUTION 50 OVERLAY
RIGHT_MLO LINES 4616 PIXELS_PER_LINE 2992 BITS_PER_PIXEL 12 RESOLUTION 50 OVERLAY

FILE: B_3485_1.RIGHT_MLO.OVERLAY

TOTAL_ABNORMALITIES 1
ABNORMALITY 1
LESION_TYPE CALCIFICATION TYPE PUNCTATE DISTRIBUTION CLUSTERED
ASSESSMENT 4
SUBTLETY 3
PATHOLOGY BENIGN
TOTAL_OUTLINES 1 
BOUNDARY
FILE: B_3485_1.RIGHT_CC.OVERLAY

TOTAL_ABNORMALITIES 1
ABNORMALITY 1
LESION_TYPE CALCIFICATION TYPE PUNCTATE DISTRIBUTION CLUSTERED
ASSESSMENT 3
SUBTLETY 2
PATHOLOGY BENIGN
TOTAL_OUTLINES 1 
BOUNDARY