![]() |
![]() |
![]() |
![]() |
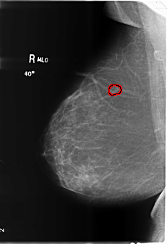
ics_version 1.0 filename B-3486-1 DATE_OF_STUDY 1 6 1998 PATIENT_AGE 39 FILM FILM_TYPE REGULAR DENSITY 1 DATE_DIGITIZED 4 6 1999 DIGITIZER LUMISYS LASER SEQUENCE LEFT_CC LINES 6016 PIXELS_PER_LINE 4128 BITS_PER_PIXEL 12 RESOLUTION 50 NON_OVERLAY LEFT_MLO LINES 6000 PIXELS_PER_LINE 4184 BITS_PER_PIXEL 12 RESOLUTION 50 NON_OVERLAY RIGHT_CC LINES 6024 PIXELS_PER_LINE 4144 BITS_PER_PIXEL 12 RESOLUTION 50 OVERLAY RIGHT_MLO LINES 6024 PIXELS_PER_LINE 4120 BITS_PER_PIXEL 12 RESOLUTION 50 OVERLAY |
FILE: B_3486_1.RIGHT_MLO.OVERLAY TOTAL_ABNORMALITIES 1 ABNORMALITY 1 LESION_TYPE CALCIFICATION TYPE PLEOMORPHIC DISTRIBUTION CLUSTERED ASSESSMENT 4 SUBTLETY 3 PATHOLOGY BENIGN TOTAL_OUTLINES 1 BOUNDARY |
FILE: B_3486_1.RIGHT_CC.OVERLAY TOTAL_ABNORMALITIES 1 ABNORMALITY 1 LESION_TYPE CALCIFICATION TYPE PLEOMORPHIC DISTRIBUTION CLUSTERED ASSESSMENT 4 SUBTLETY 3 PATHOLOGY BENIGN TOTAL_OUTLINES 1 BOUNDARY |