Digital Database for Screening Mammography

Volume: benign_13 Case: B-3489-1


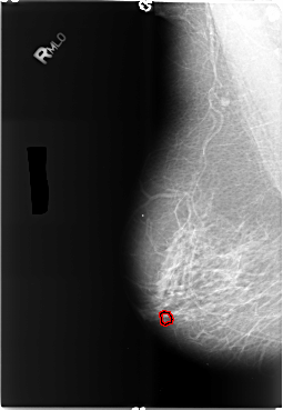
B_3489_1.RIGHT_MLO

B_3489_1.LEFT_MLO

B_3489_1.RIGHT_CC

B_3489_1.LEFT_CC

ics_version 1.0
filename B-3489-1
DATE_OF_STUDY 14 5 1998
PATIENT_AGE 73
FILM
FILM_TYPE REGULAR
DENSITY 2
DATE_DIGITIZED 10 6 1999
DIGITIZER LUMISYS LASER
SEQUENCE
LEFT_CC LINES 6008 PIXELS_PER_LINE 4080 BITS_PER_PIXEL 12 RESOLUTION 50 NON_OVERLAY
LEFT_MLO LINES 5896 PIXELS_PER_LINE 4064 BITS_PER_PIXEL 12 RESOLUTION 50 NON_OVERLAY
RIGHT_CC LINES 5920 PIXELS_PER_LINE 4072 BITS_PER_PIXEL 12 RESOLUTION 50 OVERLAY
RIGHT_MLO LINES 5896 PIXELS_PER_LINE 4080 BITS_PER_PIXEL 12 RESOLUTION 50 OVERLAY

FILE: B_3489_1.RIGHT_MLO.OVERLAY

TOTAL_ABNORMALITIES 1
ABNORMALITY 1
LESION_TYPE CALCIFICATION TYPE ROUND_AND_REGULAR-PLEOMORPHIC DISTRIBUTION CLUSTERED
ASSESSMENT 4
SUBTLETY 3
PATHOLOGY BENIGN
TOTAL_OUTLINES 1 
BOUNDARY
FILE: B_3489_1.RIGHT_CC.OVERLAY

TOTAL_ABNORMALITIES 1
ABNORMALITY 1
LESION_TYPE CALCIFICATION TYPE PLEOMORPHIC DISTRIBUTION CLUSTERED
ASSESSMENT 4
SUBTLETY 3
PATHOLOGY BENIGN
TOTAL_OUTLINES 1 
BOUNDARY