Digital Database for Screening Mammography

Volume: benign_13 Case: B-3493-1


B_3493_1.RIGHT_MLO

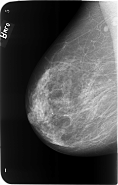
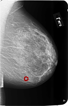
B_3493_1.LEFT_MLO

B_3493_1.RIGHT_CC

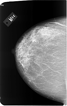
B_3493_1.LEFT_CC

ics_version 1.0
filename B-3493-1
DATE_OF_STUDY 2 6 1998
PATIENT_AGE 43
FILM
FILM_TYPE REGULAR
DENSITY 2
DATE_DIGITIZED 8 6 1999
DIGITIZER LUMISYS LASER
SEQUENCE
LEFT_CC LINES 5776 PIXELS_PER_LINE 3672 BITS_PER_PIXEL 12 RESOLUTION 50 OVERLAY
LEFT_MLO LINES 5800 PIXELS_PER_LINE 3712 BITS_PER_PIXEL 12 RESOLUTION 50 OVERLAY
RIGHT_CC LINES 5808 PIXELS_PER_LINE 3664 BITS_PER_PIXEL 12 RESOLUTION 50 NON_OVERLAY
RIGHT_MLO LINES 5808 PIXELS_PER_LINE 3728 BITS_PER_PIXEL 12 RESOLUTION 50 NON_OVERLAY

FILE: B_3493_1.LEFT_MLO.OVERLAY

TOTAL_ABNORMALITIES 1
ABNORMALITY 1
LESION_TYPE CALCIFICATION TYPE PLEOMORPHIC DISTRIBUTION CLUSTERED
ASSESSMENT 4
SUBTLETY 3
PATHOLOGY BENIGN
TOTAL_OUTLINES 1 
BOUNDARY
FILE: B_3493_1.LEFT_CC.OVERLAY

TOTAL_ABNORMALITIES 1
ABNORMALITY 1
LESION_TYPE CALCIFICATION TYPE PLEOMORPHIC DISTRIBUTION CLUSTERED
ASSESSMENT 4
SUBTLETY 3
PATHOLOGY BENIGN
TOTAL_OUTLINES 1 
BOUNDARY