Digital Database for Screening Mammography

Volume: benign_13 Case: B-3495-1


B_3495_1.RIGHT_MLO

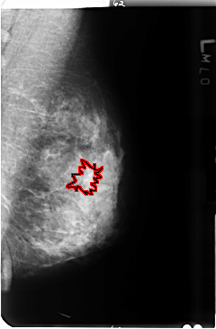
B_3495_1.LEFT_MLO

B_3495_1.RIGHT_CC

B_3495_1.LEFT_CC

ics_version 1.0
filename B-3495-1
DATE_OF_STUDY 13 5 1998
PATIENT_AGE 49
FILM
FILM_TYPE REGULAR
DENSITY 3
DATE_DIGITIZED 10 6 1999
DIGITIZER LUMISYS LASER
SEQUENCE
LEFT_CC LINES 4712 PIXELS_PER_LINE 3152 BITS_PER_PIXEL 12 RESOLUTION 50 OVERLAY
LEFT_MLO LINES 4736 PIXELS_PER_LINE 3120 BITS_PER_PIXEL 12 RESOLUTION 50 OVERLAY
RIGHT_CC LINES 4752 PIXELS_PER_LINE 3184 BITS_PER_PIXEL 12 RESOLUTION 50 NON_OVERLAY
RIGHT_MLO LINES 4664 PIXELS_PER_LINE 3096 BITS_PER_PIXEL 12 RESOLUTION 50 NON_OVERLAY

FILE: B_3495_1.LEFT_MLO.OVERLAY

TOTAL_ABNORMALITIES 1
ABNORMALITY 1
LESION_TYPE CALCIFICATION TYPE PUNCTATE DISTRIBUTION SEGMENTAL
LESION_TYPE MASS SHAPE ARCHITECTURAL_DISTORTION MARGINS ILL_DEFINED
ASSESSMENT 2
SUBTLETY 1
PATHOLOGY BENIGN
TOTAL_OUTLINES 1 
BOUNDARY
FILE: B_3495_1.LEFT_CC.OVERLAY

TOTAL_ABNORMALITIES 1
ABNORMALITY 1
LESION_TYPE CALCIFICATION TYPE PUNCTATE DISTRIBUTION CLUSTERED
LESION_TYPE MASS SHAPE ARCHITECTURAL_DISTORTION MARGINS ILL_DEFINED
ASSESSMENT 4
SUBTLETY 2
PATHOLOGY BENIGN
TOTAL_OUTLINES 1 
BOUNDARY