![]() |
![]() |
![]() |
![]() |
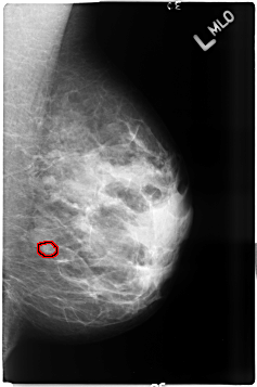
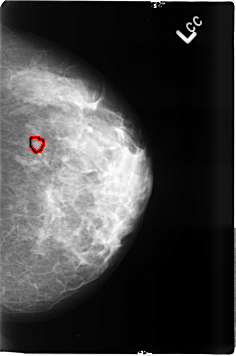
ics_version 1.0 filename B-3497-1 DATE_OF_STUDY 20 5 1998 PATIENT_AGE 38 FILM FILM_TYPE REGULAR DENSITY 3 DATE_DIGITIZED 8 6 1999 DIGITIZER LUMISYS LASER SEQUENCE LEFT_CC LINES 4624 PIXELS_PER_LINE 3056 BITS_PER_PIXEL 12 RESOLUTION 50 OVERLAY LEFT_MLO LINES 4640 PIXELS_PER_LINE 3072 BITS_PER_PIXEL 12 RESOLUTION 50 OVERLAY RIGHT_CC LINES 4600 PIXELS_PER_LINE 3032 BITS_PER_PIXEL 12 RESOLUTION 50 NON_OVERLAY RIGHT_MLO LINES 4600 PIXELS_PER_LINE 3008 BITS_PER_PIXEL 12 RESOLUTION 50 NON_OVERLAY |
FILE: B_3497_1.LEFT_MLO.OVERLAY TOTAL_ABNORMALITIES 1 ABNORMALITY 1 LESION_TYPE CALCIFICATION TYPE PLEOMORPHIC DISTRIBUTION CLUSTERED ASSESSMENT 4 SUBTLETY 3 PATHOLOGY BENIGN TOTAL_OUTLINES 1 BOUNDARY |
FILE: B_3497_1.LEFT_CC.OVERLAY TOTAL_ABNORMALITIES 1 ABNORMALITY 1 LESION_TYPE CALCIFICATION TYPE PLEOMORPHIC-AMORPHOUS DISTRIBUTION CLUSTERED ASSESSMENT 4 SUBTLETY 3 PATHOLOGY BENIGN TOTAL_OUTLINES 1 BOUNDARY |