Digital Database for Screening Mammography

Volume: benign_14 Case: C-0484-1


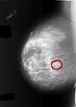
C_0484_1.RIGHT_MLO

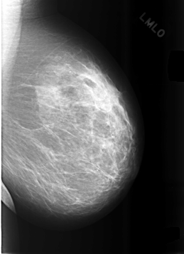
C_0484_1.LEFT_MLO

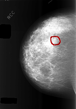
C_0484_1.RIGHT_CC

C_0484_1.LEFT_CC

ics_version 1.0
filename C-0484-1
DATE_OF_STUDY 28 9 1994
PATIENT_AGE 38
FILM
FILM_TYPE REGULAR
DENSITY 2
DATE_DIGITIZED 10 2 1999
DIGITIZER LUMISYS LASER
SEQUENCE
LEFT_CC LINES 5712 PIXELS_PER_LINE 4144 BITS_PER_PIXEL 12 RESOLUTION 50 NON_OVERLAY
LEFT_MLO LINES 5704 PIXELS_PER_LINE 4144 BITS_PER_PIXEL 12 RESOLUTION 50 NON_OVERLAY
RIGHT_CC LINES 5720 PIXELS_PER_LINE 4032 BITS_PER_PIXEL 12 RESOLUTION 50 OVERLAY
RIGHT_MLO LINES 5752 PIXELS_PER_LINE 4064 BITS_PER_PIXEL 12 RESOLUTION 50 OVERLAY

FILE: C_0484_1.RIGHT_MLO.OVERLAY

TOTAL_ABNORMALITIES 1
ABNORMALITY 1
LESION_TYPE MASS SHAPE LOBULATED MARGINS CIRCUMSCRIBED
ASSESSMENT 3
SUBTLETY 4
PATHOLOGY BENIGN
TOTAL_OUTLINES 1 
BOUNDARY
FILE: C_0484_1.RIGHT_CC.OVERLAY

TOTAL_ABNORMALITIES 1
ABNORMALITY 1
LESION_TYPE MASS SHAPE LOBULATED MARGINS CIRCUMSCRIBED
ASSESSMENT 3
SUBTLETY 4
PATHOLOGY BENIGN
TOTAL_OUTLINES 1 
BOUNDARY