Digital Database for Screening Mammography

Volume: benign_14 Case: B-3464-1


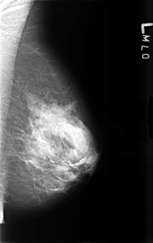
B_3464_1.RIGHT_MLO

B_3464_1.LEFT_MLO

B_3464_1.RIGHT_CC

B_3464_1.LEFT_CC

ics_version 1.0
filename B-3464-1
DATE_OF_STUDY 27 3 1998
PATIENT_AGE 45
FILM
FILM_TYPE REGULAR
DENSITY 3
DATE_DIGITIZED 25 3 1999
DIGITIZER LUMISYS LASER
SEQUENCE
LEFT_CC LINES 4552 PIXELS_PER_LINE 2952 BITS_PER_PIXEL 12 RESOLUTION 50 NON_OVERLAY
LEFT_MLO LINES 4568 PIXELS_PER_LINE 2896 BITS_PER_PIXEL 12 RESOLUTION 50 NON_OVERLAY
RIGHT_CC LINES 4600 PIXELS_PER_LINE 2824 BITS_PER_PIXEL 12 RESOLUTION 50 OVERLAY
RIGHT_MLO LINES 4656 PIXELS_PER_LINE 3064 BITS_PER_PIXEL 12 RESOLUTION 50 OVERLAY

FILE: B_3464_1.RIGHT_MLO.OVERLAY

TOTAL_ABNORMALITIES 1
ABNORMALITY 1
LESION_TYPE CALCIFICATION TYPE AMORPHOUS DISTRIBUTION CLUSTERED
ASSESSMENT 3
SUBTLETY 3
PATHOLOGY BENIGN
TOTAL_OUTLINES 1 
BOUNDARY
FILE: B_3464_1.RIGHT_CC.OVERLAY

TOTAL_ABNORMALITIES 1
ABNORMALITY 1
LESION_TYPE CALCIFICATION TYPE AMORPHOUS-PLEOMORPHIC DISTRIBUTION CLUSTERED
ASSESSMENT 4
SUBTLETY 3
PATHOLOGY BENIGN
TOTAL_OUTLINES 1 
BOUNDARY