Digital Database for Screening Mammography

Volume: benign_14 Case: B-3468-1


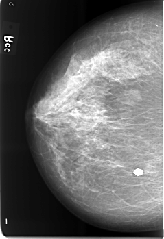
B_3468_1.RIGHT_MLO

B_3468_1.LEFT_MLO

B_3468_1.RIGHT_CC

B_3468_1.LEFT_CC

ics_version 1.0
filename B-3468-1
DATE_OF_STUDY 17 2 1998
PATIENT_AGE 50
FILM
FILM_TYPE REGULAR
DENSITY 3
DATE_DIGITIZED 18 3 1999
DIGITIZER LUMISYS LASER
SEQUENCE
LEFT_CC LINES 5712 PIXELS_PER_LINE 3808 BITS_PER_PIXEL 12 RESOLUTION 50 NON_OVERLAY
LEFT_MLO LINES 5584 PIXELS_PER_LINE 3608 BITS_PER_PIXEL 12 RESOLUTION 50 NON_OVERLAY
RIGHT_CC LINES 5576 PIXELS_PER_LINE 3816 BITS_PER_PIXEL 12 RESOLUTION 50 NON_OVERLAY
RIGHT_MLO LINES 5632 PIXELS_PER_LINE 3848 BITS_PER_PIXEL 12 RESOLUTION 50 OVERLAY

FILE: B_3468_1.RIGHT_MLO.OVERLAY

TOTAL_ABNORMALITIES 1
ABNORMALITY 1
LESION_TYPE CALCIFICATION TYPE PLEOMORPHIC DISTRIBUTION SEGMENTAL
ASSESSMENT 4
SUBTLETY 4
PATHOLOGY BENIGN
TOTAL_OUTLINES 1 
BOUNDARY