Digital Database for Screening Mammography

Volume: benign_14 Case: B-3473-1


B_3473_1.RIGHT_MLO

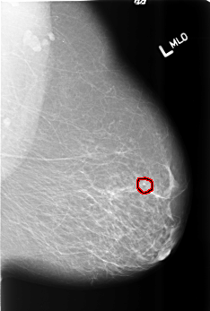
B_3473_1.LEFT_MLO

B_3473_1.RIGHT_CC

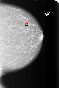
B_3473_1.LEFT_CC

ics_version 1.0
filename B-3473-1
DATE_OF_STUDY 11 3 1998
PATIENT_AGE 62
FILM
FILM_TYPE REGULAR
DENSITY 1
DATE_DIGITIZED 18 3 1999
DIGITIZER LUMISYS LASER
SEQUENCE
LEFT_CC LINES 5576 PIXELS_PER_LINE 3768 BITS_PER_PIXEL 12 RESOLUTION 50 OVERLAY
LEFT_MLO LINES 5544 PIXELS_PER_LINE 3736 BITS_PER_PIXEL 12 RESOLUTION 50 OVERLAY
RIGHT_CC LINES 5736 PIXELS_PER_LINE 3688 BITS_PER_PIXEL 12 RESOLUTION 50 NON_OVERLAY
RIGHT_MLO LINES 5712 PIXELS_PER_LINE 3992 BITS_PER_PIXEL 12 RESOLUTION 50 NON_OVERLAY

FILE: B_3473_1.LEFT_MLO.OVERLAY

TOTAL_ABNORMALITIES 1
ABNORMALITY 1
LESION_TYPE CALCIFICATION TYPE PLEOMORPHIC DISTRIBUTION CLUSTERED
ASSESSMENT 4
SUBTLETY 4
PATHOLOGY BENIGN
TOTAL_OUTLINES 1 
BOUNDARY
FILE: B_3473_1.LEFT_CC.OVERLAY

TOTAL_ABNORMALITIES 1
ABNORMALITY 1
LESION_TYPE CALCIFICATION TYPE PLEOMORPHIC DISTRIBUTION CLUSTERED
ASSESSMENT 4
SUBTLETY 4
PATHOLOGY BENIGN
TOTAL_OUTLINES 1 
BOUNDARY