Digital Database for Screening Mammography

Volume: cancer_01 Case: C-0006-1


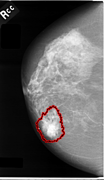
C_0006_1.RIGHT_MLO

C_0006_1.LEFT_MLO

C_0006_1.RIGHT_CC

C_0006_1.LEFT_CC

ics_version 1.0
filename C-0006-1
DATE_OF_STUDY 23 10 1992
PATIENT_AGE 61
FILM
FILM_TYPE REGULAR
DENSITY 2
DATE_DIGITIZED 10 9 1997
DIGITIZER LUMISYS LASER
SEQUENCE
LEFT_CC LINES 4648 PIXELS_PER_LINE 2800 BITS_PER_PIXEL 12 RESOLUTION 50 OVERLAY
LEFT_MLO LINES 4696 PIXELS_PER_LINE 2888 BITS_PER_PIXEL 12 RESOLUTION 50 OVERLAY
RIGHT_CC LINES 4688 PIXELS_PER_LINE 2704 BITS_PER_PIXEL 12 RESOLUTION 50 OVERLAY
RIGHT_MLO LINES 4720 PIXELS_PER_LINE 2760 BITS_PER_PIXEL 12 RESOLUTION 50 OVERLAY

FILE: C_0006_1.LEFT_MLO.OVERLAY

TOTAL_ABNORMALITIES 1
ABNORMALITY 1
LESION_TYPE MASS SHAPE ARCHITECTURAL_DISTORTION MARGINS N/A
ASSESSMENT 4
SUBTLETY 1
PATHOLOGY MALIGNANT
TOTAL_OUTLINES 1 
BOUNDARY
FILE: C_0006_1.RIGHT_MLO.OVERLAY

TOTAL_ABNORMALITIES 1
ABNORMALITY 1
LESION_TYPE MASS SHAPE IRREGULAR MARGINS SPICULATED
ASSESSMENT 5
SUBTLETY 5
PATHOLOGY MALIGNANT
TOTAL_OUTLINES 1 
BOUNDARY
FILE: C_0006_1.LEFT_CC.OVERLAY

TOTAL_ABNORMALITIES 1
ABNORMALITY 1
LESION_TYPE MASS SHAPE ARCHITECTURAL_DISTORTION MARGINS N/A
ASSESSMENT 4
SUBTLETY 1
PATHOLOGY MALIGNANT
TOTAL_OUTLINES 1 
BOUNDARY
FILE: C_0006_1.RIGHT_CC.OVERLAY

TOTAL_ABNORMALITIES 1
ABNORMALITY 1
LESION_TYPE MASS SHAPE IRREGULAR MARGINS SPICULATED
ASSESSMENT 5
SUBTLETY 5
PATHOLOGY MALIGNANT
TOTAL_OUTLINES 1 
BOUNDARY