![]() |
![]() |
![]() |
![]() |
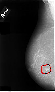
ics_version 1.0 filename C-0014-1 DATE_OF_STUDY 22 6 1992 PATIENT_AGE 83 FILM FILM_TYPE REGULAR DENSITY 1 DATE_DIGITIZED 11 9 1997 DIGITIZER LUMISYS LASER SEQUENCE LEFT_CC LINES 4648 PIXELS_PER_LINE 2696 BITS_PER_PIXEL 12 RESOLUTION 50 NON_OVERLAY LEFT_MLO LINES 4632 PIXELS_PER_LINE 2824 BITS_PER_PIXEL 12 RESOLUTION 50 NON_OVERLAY RIGHT_CC LINES 4608 PIXELS_PER_LINE 2624 BITS_PER_PIXEL 12 RESOLUTION 50 OVERLAY RIGHT_MLO LINES 4664 PIXELS_PER_LINE 2800 BITS_PER_PIXEL 12 RESOLUTION 50 OVERLAY |
FILE: C_0014_1.RIGHT_MLO.OVERLAY TOTAL_ABNORMALITIES 1 ABNORMALITY 1 LESION_TYPE MASS SHAPE IRREGULAR MARGINS MICROLOBULATED ASSESSMENT 5 SUBTLETY 4 PATHOLOGY MALIGNANT TOTAL_OUTLINES 1 BOUNDARY |
FILE: C_0014_1.RIGHT_CC.OVERLAY TOTAL_ABNORMALITIES 1 ABNORMALITY 1 LESION_TYPE MASS SHAPE IRREGULAR MARGINS ILL_DEFINED ASSESSMENT 5 SUBTLETY 4 PATHOLOGY MALIGNANT TOTAL_OUTLINES 1 BOUNDARY |