![]() |
![]() |
![]() |
![]() |
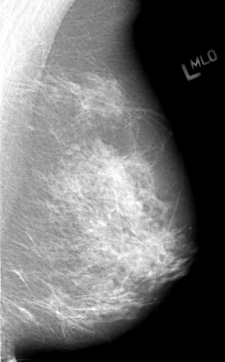
ics_version 1.0 filename B-3012-1 DATE_OF_STUDY 23 5 1995 PATIENT_AGE 53 FILM FILM_TYPE REGULAR DENSITY 3 DATE_DIGITIZED 24 4 1997 DIGITIZER LUMISYS LASER SEQUENCE LEFT_CC LINES 4256 PIXELS_PER_LINE 2752 BITS_PER_PIXEL 12 RESOLUTION 50 NON_OVERLAY LEFT_MLO LINES 4336 PIXELS_PER_LINE 2696 BITS_PER_PIXEL 12 RESOLUTION 50 NON_OVERLAY RIGHT_CC LINES 4136 PIXELS_PER_LINE 3152 BITS_PER_PIXEL 12 RESOLUTION 50 OVERLAY RIGHT_MLO LINES 4216 PIXELS_PER_LINE 3192 BITS_PER_PIXEL 12 RESOLUTION 50 OVERLAY |
FILE: B_3012_1.RIGHT_MLO.OVERLAY TOTAL_ABNORMALITIES 1 ABNORMALITY 1 LESION_TYPE MASS SHAPE IRREGULAR MARGINS SPICULATED ASSESSMENT 4 SUBTLETY 3 PATHOLOGY MALIGNANT TOTAL_OUTLINES 1 BOUNDARY |
FILE: B_3012_1.RIGHT_CC.OVERLAY TOTAL_ABNORMALITIES 1 ABNORMALITY 1 LESION_TYPE MASS SHAPE IRREGULAR-ARCHITECTURAL_DISTORTION MARGINS SPICULATED ASSESSMENT 4 SUBTLETY 3 PATHOLOGY MALIGNANT TOTAL_OUTLINES 1 BOUNDARY |