Digital Database for Screening Mammography

Volume: cancer_01 Case: B-3020-1


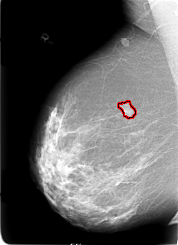
B_3020_1.RIGHT_MLO

B_3020_1.LEFT_MLO

B_3020_1.RIGHT_CC

B_3020_1.LEFT_CC

ics_version 1.0
filename B-3020-1
DATE_OF_STUDY 13 3 1995
PATIENT_AGE 60
FILM
FILM_TYPE REGULAR
DENSITY 2
DATE_DIGITIZED 2 7 1997
DIGITIZER LUMISYS LASER
SEQUENCE
LEFT_CC LINES 5672 PIXELS_PER_LINE 3976 BITS_PER_PIXEL 12 RESOLUTION 50 NON_OVERLAY
LEFT_MLO LINES 5672 PIXELS_PER_LINE 4160 BITS_PER_PIXEL 12 RESOLUTION 50 NON_OVERLAY
RIGHT_CC LINES 5624 PIXELS_PER_LINE 4008 BITS_PER_PIXEL 12 RESOLUTION 50 OVERLAY
RIGHT_MLO LINES 5680 PIXELS_PER_LINE 4120 BITS_PER_PIXEL 12 RESOLUTION 50 OVERLAY

FILE: B_3020_1.RIGHT_MLO.OVERLAY

TOTAL_ABNORMALITIES 1
ABNORMALITY 1
LESION_TYPE MASS SHAPE LOBULATED MARGINS CIRCUMSCRIBED-ILL_DEFINED
ASSESSMENT 4
SUBTLETY 4
PATHOLOGY MALIGNANT
TOTAL_OUTLINES 1 
BOUNDARY
FILE: B_3020_1.RIGHT_CC.OVERLAY

TOTAL_ABNORMALITIES 1
ABNORMALITY 1
LESION_TYPE MASS SHAPE LOBULATED MARGINS CIRCUMSCRIBED-ILL_DEFINED
ASSESSMENT 4
SUBTLETY 4
PATHOLOGY MALIGNANT
TOTAL_OUTLINES 1 
BOUNDARY